牙齿间隙保持器的危害

间隙处的牙龈还有可能越过保持器的弓丝向上生长,这增加了发生感染的
图片尺寸1080x608
为什么要戴间隙保持器71
图片尺寸1080x1440
牙齿间隙保持器多少钱(乳牙早失后) - bat日报
图片尺寸836x386
间隙保持器的作用 - 好大夫在线
图片尺寸1600x1093
间隙保持器是指儿童牙齿在早失后,为了保持这个空缺,维持正常的生理
图片尺寸1080x656
两种间隙保持器什么区别71如何选择71
图片尺寸1080x1434
儿童牙齿间隙保持器多少钱一个安装舌弓带环式的价格不同
图片尺寸500x281
间隙保持器是指儿童牙齿在早失后,为了保持这个空缺,维持正常的生理
图片尺寸1080x808
间隙保持器优选材料
图片尺寸920x1302
牙齿间隙保持器多少钱(乳牙早失后) - 羊城网
图片尺寸1600x1066
有咀嚼功能也会促进孩子颌骨发育#阻萌器 #缺隙保持器 #榆次矫正
图片尺寸1080x1440
预防性矫治间隙保持器,牙齿矫正,矫治间隙保持器,牙齿矫正,牙科网www.
图片尺寸400x265
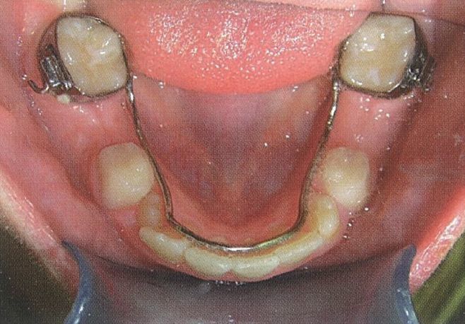
双侧下颌第二乳磨牙早失,可制作舌弓间隙保持器;多颗牙齿缺失以及前牙
图片尺寸658x458
间隙保持器可以防止邻牙向丧失部位倾斜和对合牙伸长,保证继承恒牙
图片尺寸454x470
间隙保持器是什么儿童乳牙脱落治疗
图片尺寸197x174
会影响恒牙萌出,因此可能给戴牙间隙保持器,而不是把牙塞回去
图片尺寸1080x425
器发挥作用的时候,因此我们有必要了解间隙保持以及它怎样对儿童牙齿
图片尺寸400x264
间隙保持器
图片尺寸1080x675
4间隙保持器做固位体!首先根据牙齿近远中长度选择适合的预成冠.
图片尺寸1080x809
儿童间隙保持器维护方法
图片尺寸415x281