牙齿颌面

颌面部应用解剖与生理
图片尺寸644x436
口腔颌面外科成功完成正颌手术治疗"地包天"案例分享
图片尺寸843x495
人的颌和牙齿
图片尺寸1200x900
已经做好的牙齿矫正,颌面拍照
图片尺寸1678x1200
下颌6颌面画牙练习
图片尺寸853x480
牙颌面畸形及正颌外科手术简介
图片尺寸591x558
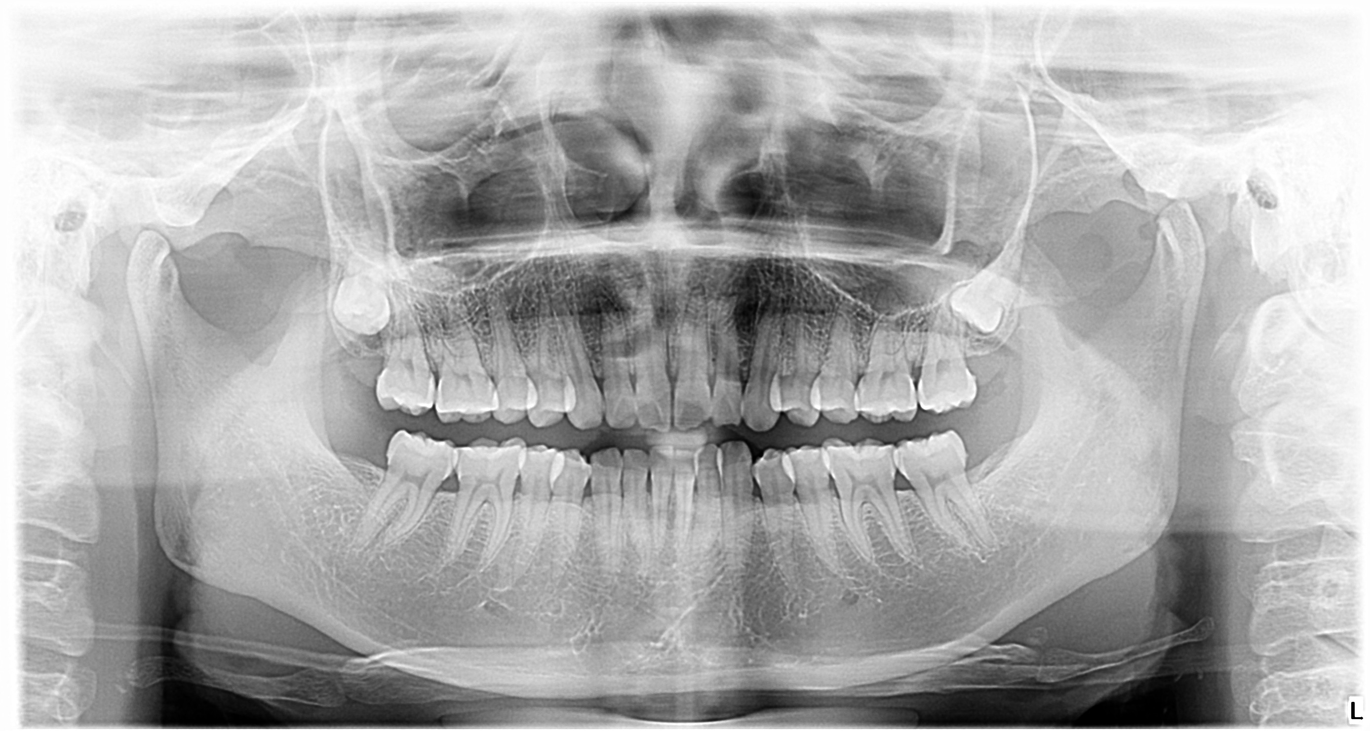
跟题主一样,下颌角很方,还凸嘴 牙齿不整齐,我也想弄一下颌面了.
图片尺寸2775x1480
体:内面,外面,牙槽突,下缘结构是颌面骨中唯一可以活动且最坚实的骨骼
图片尺寸560x358
牙齿的形态图与口腔颌面解剖图_恒牙
图片尺寸531x784
口臭洁牙老年口腔中医口腔门诊即将开诊雁江区人民医院呵护您的牙齿
图片尺寸1060x685
1,牙齿&骨性问题 如果是因为牙齿导致的颌面问题,相对是比较容易解决
图片尺寸486x197
从牙性开颌和骨性开颌区别看,成人牙齿开颌严重矫正难吗,颌面对比照
图片尺寸594x487
首页 嘉友资讯中心 合学关节 牙医基础知识:口腔颌面
图片尺寸640x482
这两种牙齿情况统称为"牙列不齐",在医学上又被称为"牙颌面畸形"
图片尺寸868x508
一,口腔颌面部界限与分区
图片尺寸640x437
如何预防牙颌面畸形?_牙齿
图片尺寸606x297
颌骨发育过度
图片尺寸500x327
牙颌面畸形ppt课件ppt
图片尺寸800x533
乳牙(外侧面观)-颌面口腔应用解剖-医学
图片尺寸1714x1347
牙齿都乱的一模一样的姐妹花
图片尺寸1000x2347