牙龈上长溃疡照片

牙龈上长了个类似溃疡的东西,不疼,10几天了,有白色物质在上面,用手指
图片尺寸500x889
牙龈上长了个类似溃疡的东西,不疼,10几天了,有白色物质在上面,用手指
图片尺寸500x889
牙龈外伤致口腔溃疡
图片尺寸768x1024
牙龈老出现这种泡,弄破又起来了,怎么回事
图片尺寸373x500
下牙床处长了类似溃疡,白色部分,持续一周了,起先就是和口腔溃疡一样
图片尺寸768x1024
牙龈最近有时会出
图片尺寸480x640
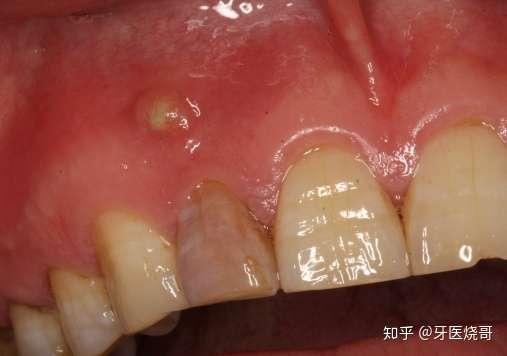
牙龈上面长了一个脓包怎么回事
图片尺寸750x1334
坏死性溃疡性牙龈炎 - 口腔专业讨论版 -丁香园论坛
图片尺寸5184x3456
帮忙看看,牙龈这个地方溃疡肿么办.缺损的牙龈还能恢复吗?要去
图片尺寸516x916
牙龈上长了一个脓包怎么办
图片尺寸507x356
自己刺破牙龈脓包会不会有问题?
图片尺寸640x470
2口腔溃疡4个.鼻塞头痛.
图片尺寸450x355
2周岁宝宝牙龈上长了个脓包
图片尺寸480x640
牙龈上有疙瘩溃疡是什么原因?
图片尺寸640x404
这个是口腔溃疡吗?3个包!
图片尺寸900x1600
牙龈癌图片及早期三大症状,警惕溃疡和菜花样肿物的出现
图片尺寸576x330
【讨论】牙龈上长了个红色疙瘩是口腔溃疡么?
图片尺寸1080x810
牙龈上长脓包,挤掉后还反复长出,怎么回事?
图片尺寸580x360
牙龈长脓包可以挑破吗
图片尺寸500x667
牙龈老是生脓包
图片尺寸959x720