牙龈发炎化脓怎么办

牙龈上长脓包,挤掉后还反复长出,怎么回事?__凤凰网
图片尺寸456x373
还有两周该生了,牙龈肿的不成样,还化脓了好像
图片尺寸640x805
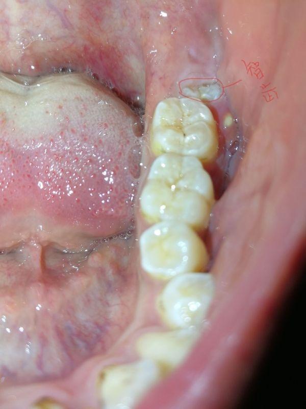
图1.牙龈红肿溢脓
图片尺寸600x447
如果你牙龈反复的出现脓包,原因可能不简单!
图片尺寸858x792
还有两周该生了,牙龈肿的不成样,还化脓了好像
图片尺寸813x824
最近的研究有·牙周炎患者的化脓性肝脓肿和慢性肾病风险高?
图片尺寸800x472
智齿冠周炎得治疗,如果有化脓的,一是切开牙龈进行引流操作,然后使用
图片尺寸631x422
牙龈长脓包可以挑破吗
图片尺寸500x667
牙龈长了脓包,要不要去医院治疗? - 知乎
图片尺寸600x800
备孕期间牙龈发炎肿痛怎么办 牙龈肿痛就要这样做
图片尺寸500x500
脓包是什么化脓的图片
图片尺寸497x388
牙龈脓包反复起怎样才能消除?以我的经历告诉你根管治疗就是个坑
图片尺寸400x400
牙龈肿痛都是由什么引起的?人怎么办?-爱慕生活网
图片尺寸380x400
牙龈旁边长个大脓包都一两个月了,肿了,特别疼怎么办啊
图片尺寸1024x1024
两岁宝宝门牙的牙龈上长脓包?
图片尺寸720x1280
自己刺破牙龈脓包会不会有问题?
图片尺寸640x470
八岁小孩牙龈上长了个很大的脓包,孩子说不疼不痒,按压的话有点疼,请
图片尺寸500x310
牙龈上长了个小脓包一样的东西,很痛,这是则么回事
图片尺寸600x450
上方虎牙牙龈流脓,已经很长时间了,如果有时候里面的脓流不出来就会
图片尺寸576x1024
把牙龈上的包戳破,脓流出来不就好了?
图片尺寸415x333