牙龈炎和牙周炎的图片

牙龈炎和牙周炎有什么区别该如何预防
图片尺寸543x259
慢性牙周炎的图片
图片尺寸756x500
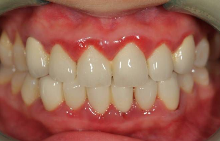
是牙龈炎还是牙周炎?
图片尺寸751x482
牙周病是指发生在牙支持组织(牙周组织)的疾病,包括牙龈病和牙周炎两
图片尺寸640x426
牙周膜,牙槽骨)中,也就是我们常说的牙龈炎和牙周炎
图片尺寸751x484
牙龈炎症状和图片以及边缘性牙龈炎的治疗方法都在这里
图片尺寸514x237
为什么牙周炎症越早治疗疗效越好?武汉第一口腔告诉你答案
图片尺寸492x589
牙龈炎和牙周炎之间的区别
图片尺寸682x424
非常严重的慢性牙周炎图片
图片尺寸666x500
牙龈炎
图片尺寸443x400
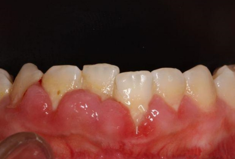
患有慢性牙周炎图片
图片尺寸863x500
牙周炎牙龈区的炎症过程. 牙齿脖子的暴露. 医生检查口腔.
图片尺寸400x300
牙龈炎和牙周炎虽只是一字之差但区别很大
图片尺寸898x444
牙髓炎,牙龈发炎和牙周炎的区别,他们能自己自愈吗?
图片尺寸500x500
症状一,牙龈出血牙周炎症状表现为牙龈红肿,出血,而出现不仅仅是在
图片尺寸640x325
是牙龈炎还是牙周炎?
图片尺寸753x510
附对比图牙周炎与牙龈炎区别
图片尺寸466x193
牙龈炎和牙周炎的区别
图片尺寸525x186
关注牙龈出血和牙齿松动,预防牙周疾病|炎症|牙龈炎|牙周炎|口腔疾病
图片尺寸660x392
牙龈炎牙周炎和牙髓炎的症状和区别 看看医生怎么讲牙龈炎
图片尺寸665x920