牙龈肿痛怎么办脓包

宝宝牙浆上长了个大包,看着感觉是脓包是怎么回事?
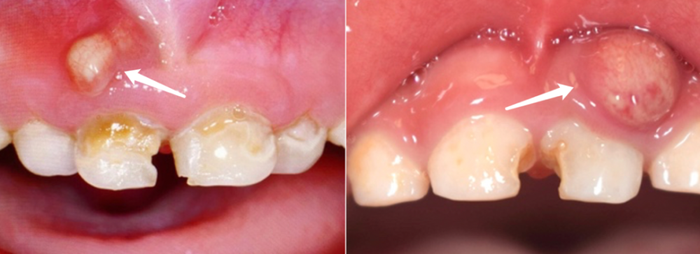
图片尺寸1040x780
口腔干货60孩子牙龈上长脓包是上火么7171
图片尺寸1080x1440
为什么牙龈总是长脓包
图片尺寸482x326
沪申口腔‖牙龈上长脓包是怎么回事?(上)
图片尺寸1080x1439
【图】牙龈长脓包可以刺破吗 成年人牙龈脓肿是什么造成
图片尺寸400x400
然后牙龈上用总长脓包好了两天又长好了又长~~这是怎么回事啦 去
图片尺寸768x1024
推荐牙痛牙疼止疼药速效牙痛宁牙齿痛牙龈脓包肿包虫牙喷剂牙龈肿
图片尺寸800x800
牙疼牙龈长脓包警惕慢性根尖牙周炎
图片尺寸1200x900
我女儿,牙龈处有一个肿块.疼痛,有一白点,可能是化脓了,我该怎么处理
图片尺寸523x450
孩子八岁,牙龈里面鼓起来了,好像化脓了,吃消炎药没有消除.
图片尺寸600x800
牙龈肿痛都是由什么引起的?人怎么办?-爱慕生活网
图片尺寸380x400
牙龈肿包消脓鼓包牙疼消焱牙龈t肿痛止疼药速效保护剂瘘管上火出
图片尺寸300x300
牙龈肿痛
图片尺寸1080x1439
孩子牙龈长包吃点消炎药就能好吗
图片尺寸1000x364
牙龈上长了个小脓包一样的东西,很痛,这是则么回事
图片尺寸600x450
上门牙里边的牙床肿的特厉害 上边有白色的泡 有的
图片尺寸555x512
根管倒充填手术我院一例根尖囊肿患者的手术图片牙龈肿痛流脓,你
图片尺寸4032x3024
有图慎入牙龈突然肿了一个大包求帮看看是怎么了
图片尺寸1080x578
牙龈脓包要怎么处理好呢?
图片尺寸580x320
牙龈旁边长个大脓包都一两个月了,肿了,特别疼怎么办啊
图片尺寸1024x1024