牙龈萎缩图片对比
 - 牙龈萎缩和正常牙龈图片对比看看你的牙龈还有救吗图片尺寸600x721
 - 牙龈退缩比较.jpg图片尺寸1238x875
 - 导致牙龈萎缩的三大原因,你占了几个?图片尺寸600x400
 - 牙龈萎缩是什么原因牙龈萎缩各个阶段图片图片尺寸1100x1252
![美牙对比图来了[呲牙]牙黄,蝴蝶03 牙,八撇牙,牙龈萎缩[ - 抖音](https://imgs.wantubizhi.com/img/ADDA3C5D760C6828B77B505A29D43E83748FC1E8EF102AE0B0845BDABB8D41725D2631A5BC724A4FFB7154DB7CF96CA46543841A2781BDCEA2B550F1C391A0132798C5EE6484DBE91EED9FD8C6662009EDDF7A94E300C9F46E78A914771EE083) - 美牙对比图来了[呲牙]牙黄,蝴蝶03 牙,八撇牙,牙龈萎缩[ - 抖音图片尺寸1440x1920
 - 牙龈萎缩会慢慢恢复吗一个万人愁的问题图片尺寸690x461
 - 牙龈萎缩和正常牙龈图片对比看看你的牙龈还有救吗图片尺寸600x361
 - 牙龈萎缩图片尺寸500x335
 - 牙龈萎缩_牙齿矫正|福州种植牙中心|福州隐形矫正中心|福州牙科医院图片尺寸536x290
 - 为什么牙龈会萎缩该怎么办给牙龈美个容吧图片尺寸906x930
 - 50人牙龈正在萎缩你是不是也在其中图片尺寸500x565
 - 微博图片尺寸360x578
 - 牙龈萎缩还能种牙吗?图片尺寸547x181
 - 牙齿矫正后出现了黑三角牙龈萎缩的情况还有救吗图片尺寸600x626
 - 局限型侵袭性牙周炎及牙龈退缩治疗病例分享图片尺寸485x276
 - 三亚切除牙龈息肉术要多少钱能管多长时间图片尺寸500x210
 - 1,用于牙龈退缩的治疗(隧道手术,冠向移位瓣等)图片尺寸1624x569
 - 仔细刷牙几十年后,牙齿竟然被毁掉了图片尺寸640x739
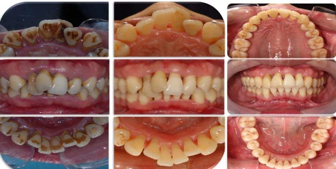
 - 牙龈退缩治疗案例_牙龈萎缩_牙龈萎缩治疗方式 - 好大夫在线图片尺寸1622x1079
 - 牙龈萎缩是怎么回事?如何预防?图片尺寸1080x545