牙龈萎缩是什么原因

牙龈萎缩怎么办07还有救吗71
图片尺寸1080x1443
牙龈萎缩可逆吗?听听专业人士怎么说71
图片尺寸1080x1440
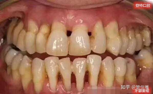
78 牙龈萎缩是很常见的牙科疾病.它是有很多种原因导致的.
图片尺寸1080x1439
治牙龈萎缩修复再生牙周炎牙齿松动固齿消肿痛出血专用药喷剂神器
图片尺寸800x800
牙龈萎缩是什么原因?牙龈萎缩怎么防治?
图片尺寸1280x668
牙龈萎缩是什么原因导致的?还能恢复吗?
图片尺寸922x480
牙龈萎缩怎么办还有救吗63
图片尺寸1080x1200
下周戴牙套牙龈萎缩还是
图片尺寸2100x1574
牙龈萎缩是什么原因
图片尺寸800x450
牙龈退缩
图片尺寸474x315
牙龈萎缩是什么原因牙龈萎缩各个阶段图片
图片尺寸1100x1252
牙龈萎缩图片及症状怎么治疗方法已给到平时记得好好刷牙哦
图片尺寸900x383
牙龈萎缩的病因及表现
图片尺寸500x333
74牙龈萎缩是不可逆转修复的,日常生活中这些造成牙龈萎缩的做法你
图片尺寸1080x1440
为什么会出现牙龈萎缩?5个原因,看看你中招了吗
图片尺寸730x520
为什么会出现牙龈萎缩
图片尺寸600x380
牙龈退缩可以考虑手术修复_牙龈萎缩_介绍_发病原因_治疗方式 - 好
图片尺寸1080x607
造成牙龈萎缩的原因有哪些
图片尺寸598x370
年纪大,牙龈萎缩,萎缩的牙龈还能「长」回来吗?看看牙医怎麼说?
图片尺寸3000x1668
牙龈萎缩非小事,拖久不治危害大,初期不治晚期花费上万都难恢复
图片尺寸1200x628