牙龋齿

龋齿
图片尺寸500x222
龋齿被宠坏的牙特写镜头为拍照照片
图片尺寸450x300
蛀牙牙痛难忍先别急着拔说不定还有救
图片尺寸912x798
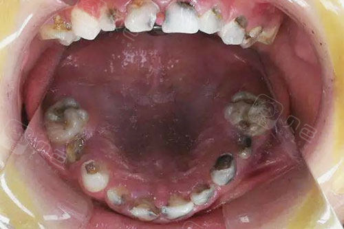
碳酸饮料当水喝 男子一口牙全烂光只能吃流食
图片尺寸615x410
想到这个月的儿牙沙龙把病例资料准备下
图片尺寸1919x1279
乳前牙龋齿治疗
图片尺寸1800x2400
龋齿的那些修复事
图片尺寸640x334
龋齿
图片尺寸1200x1059
最烂的牙齿坏牙龋齿图片图片下载图片id873772人体器官图片素材聚图2
图片尺寸496x280
可以做全口种植牙吗?
图片尺寸500x333
最烂的牙齿坏牙龋齿图片图片下载图片id873772人体器官图片素材聚图2
图片尺寸1080x823
龋齿的病因目前来看龋齿困扰了较多的朋友,让他们的牙齿受到了危害
图片尺寸260x195
4岁孩子满口黑牙烂牙,花费15000,后悔没有早看到这篇护牙攻略!
图片尺寸1079x667
"龋齿",俗称"虫牙","蛀牙",是人类发病率极高的疾病.
图片尺寸350x200
首页 疾病诊疗 龋齿补牙 说到这个蛀牙,我觉得大家都并不陌生.
图片尺寸626x466
龋齿修复图片
图片尺寸450x300
深龋齿的症状
图片尺寸500x250
孩子满嘴黑牙龋齿别让糖果背锅了父母这些坏习惯要改
图片尺寸640x367
朋友的女儿还不到2岁,就检查出4颗龋齿,2颗小黑牙.
图片尺寸640x487
但牙医们发现,儿童大量摄入糖还可能造成龋齿,这带来的危害更大.
图片尺寸640x426