牛牙症

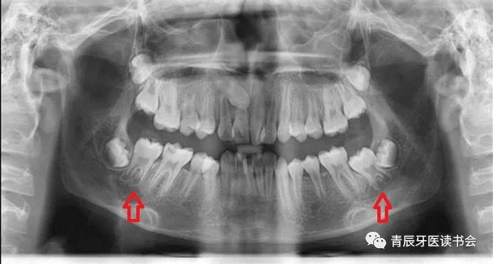
病例分享下颌牛牙症根管治疗一例
图片尺寸720x422
牛牙症遇到c型根管
图片尺寸640x360
牛牙症伴牙髓钙化2例
图片尺寸354x275
贵州一男子被狼舔后牙齿外翻长相恐怖
图片尺寸600x399
牛牙症遇到c型根管
图片尺寸640x360
牛牙症的根管治疗
图片尺寸594x334
第二前磨牙重度牛牙症伴c型根管病例 科贸嘉友收录
图片尺寸500x569
第二前磨牙重度牛牙症伴c型根管病例 科贸嘉友收录
图片尺寸560x638
牛牙症的根管治疗
图片尺寸810x479
【病例分享】下颌牛牙症根管治疗一例
图片尺寸720x542
牛牙症的根管治疗
图片尺寸720x386
一个牙形态发育异常的第二磨牙的根管治疗
图片尺寸524x357
第二前磨牙重度牛牙症伴c型根管病例 科贸嘉友收录
图片尺寸560x642
3m树脂充填
图片尺寸640x1175
一等奖病例比赛作品:显微根管治疗与嵌体修复治疗左下第二磨牙牛牙症
图片尺寸560x372
一等奖病例比赛作品显微根管治疗与嵌体修复治疗左下第二磨牙牛牙症
图片尺寸640x427
第二前磨牙重度牛牙症伴c型根管病例 科贸嘉友收录
图片尺寸560x666
牛牙症外院转诊
图片尺寸1024x576
牛牙症遇到c型根管
图片尺寸640x360
一等奖病例比赛作品显微根管治疗与嵌体修复治疗左下第二磨牙牛牙症
图片尺寸640x426