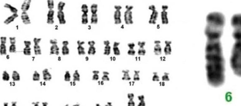
猫叫综合症染色体

猫叫综合征:从症状到治疗的全面解析与专家团队介绍
图片尺寸772x341
染色体_患儿_综合征
图片尺寸563x498
🐱猫叫综合征与小孩哭声相似
图片尺寸1080x1410
确诊猫叫综合征的孩子长大后一定会是先天愚型吗?
图片尺寸1111x462
染色体微缺失"小儿猫叫综合征"有哪些危害?
图片尺寸430x339
全外显子组测序检测猫叫综合征2例*
图片尺寸3780x2086
也被称为5p综合症,是一种染色体缺失综合症,因婴儿时有猫叫样啼哭而得
图片尺寸500x340
猫叫综合征是一种常染色体异常综合征
图片尺寸720x960
猫叫综合征属于染色体结构变异吗?
图片尺寸750x1000
猫叫综合征的患者第5号染色体短臂缺失,故又名5p
图片尺寸450x253
猫叫综合征是一种什么病?
图片尺寸440x265
猫叫综合征,是想猫一样叫吗?
图片尺寸456x347
美国第三代试管婴儿如何从根源上阻断猫叫综合征?
图片尺寸658x759
染色体变异:揭秘遗传信息的奥秘 🔍
图片尺寸1280x1890
猫咪眼睛一大一小?可能是霍纳氏综合症!
图片尺寸1080x1409
染色体异常:遗传还是后天?🤰🔬
图片尺寸1080x1410
此外,80%~90%的猫叫综合征是因5号染色体短臂染色体断裂猫叫综合征是
图片尺寸344x308
猫叫综合征
图片尺寸640x477
精子"变形记":染色体异常扮演什么角色?
图片尺寸960x1280
猫叫综合征,患者第