猫多囊肾图片

英短多囊肾
图片尺寸1024x768
一例猫多囊肾pkd病例的诊治分析
图片尺寸453x321
猫疾病|当我知道我家猫有多囊肾病的时候,我崩溃了
图片尺寸1080x651
多囊肾_猫咪_小岛花宠物医院·24小时攻略_宠物_宁波宠物医院_宠物_猫
图片尺寸1080x780
剖检照片:7岁雄性英国短毛猫多囊肾的横截面,检测pkd1基因突变阳性
图片尺寸996x421
【讨论】七个月的猫咪疑似多囊肾
图片尺寸720x512
就是这个,看组里,巨害怕是多囊肾啊
图片尺寸1080x810
【猫咪多囊肾pkd求助贴】
图片尺寸1080x840
猫多囊肾并发多囊肝病例报告
图片尺寸672x1013
多囊肾被认为是一种遗传性疾病,易发于波斯猫及折耳猫,会导致肾脏实质
图片尺寸1080x872
关于猫咪肾衰竭和尿结石
图片尺寸3968x2976
【求助】母猫绝育做了全身体检发现多囊肾和折耳发病倾向
图片尺寸808x808
玫斯科普丨猫多囊肾如何打破家族遗传的魔咒
图片尺寸450x278
猫咪多囊肾怎么办
图片尺寸1080x1439
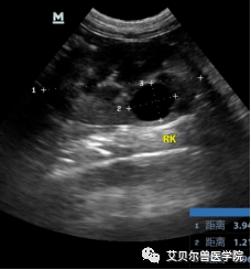
猫多囊肾的超声表现
图片尺寸228x245
请大家一定要重视猫咪不爱喝水的问题
图片尺寸1080x810
猫疾病|当我知道我家猫有多囊肾病的时候,我崩溃了
图片尺寸600x458
猫咪肾脏疾病多囊肾pkd科普
图片尺寸1000x1330
一例猫咪肾脏积水(左肾摘除)
图片尺寸640x853
求助13岁老年猫咪双肾积水
图片尺寸1080x607