玻璃体后脱离b超

患者和家属了解了玻璃体切除术和球囊顶
图片尺寸1080x864
眼科b超图谱汇总
图片尺寸908x724
一般来说,生理性的飞蚊症对眼睛和身体的影响并不大,暂时可以不用处理
图片尺寸600x465
医讯聊城市眼科医院顺利实施全市首例10000切速玻璃体切除手术
图片尺寸648x580
健康频道-荆楚网-湖北日报网
图片尺寸720x803
我们将眼球比作照相机,角膜,晶状体
图片尺寸544x404
一位视网膜脱离患者找回了光的希望
图片尺寸642x463
术后第三天左眼b超:积血已清除干净经历两次惊心动魄手术的刘先生感慨
图片尺寸512x512
李大爷右眼b超经过门诊详细检查,李大爷右眼的确也发生了玻璃体积血
图片尺寸554x414
眼科b超图谱汇总
图片尺寸788x482
治疗_患者_玻璃体
图片尺寸1080x641
,创伤性玻璃体疝,角膜板层裂伤,视网膜震荡,视力仅存
图片尺寸777x568
双眼蒙黑,经停车休息后,自觉视力略有改善,第二天来院就诊,眼科查体
图片尺寸780x712
临床上常见的病理性近视患者眼底相及b超
图片尺寸1080x810
开角型青光眼,玻璃体混浊等6.白内障5.近视相关脉络膜新
图片尺寸1024x678
发现小婷的情况确实更严重了:右眼玻璃体积血合并牵拉性视网膜脱离
图片尺寸640x555
摘除手术的她植入眼内的人工晶体及张力环囊袋复合体已脱位至玻璃体腔
图片尺寸1200x652
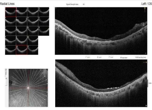
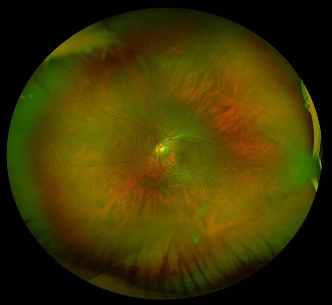
左眼,视轴下方玻璃体大片膜样混浊,可见玻璃体后脱离,视盘边界清晰
图片尺寸1080x992
眼部b超:双眼玻璃体混浊,后脱离.眼轴长度:右眼:27.28mm;左眼:27
图片尺寸1080x577
正常晶体无回声,后囊膜呈不完整的弧形强回声,玻璃体为完全的
图片尺寸794x580