球形心

气球心
图片尺寸658x582
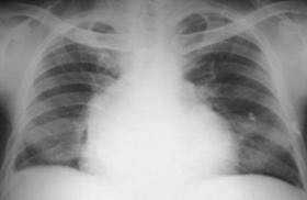
球形心:房室普遍增大,器质性心脏病晚期(也见于新生儿,小儿心脏x片).
图片尺寸280x182
球心的形状,足球足球球在心的形状
图片尺寸1024x830
加厚爱心型气球婚庆结婚房布置生日派对装饰求婚心形汽球包邮免邮
图片尺寸310x308
球形心
图片尺寸504x331
充满科技感的心形3d模型 sci fi heart
图片尺寸800x800
色块爱心桃心心形心
图片尺寸601x547
球面上点的坐标
图片尺寸720x1520
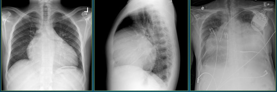
2-1 普大型心,左右心房,心室均扩大,肺动脉段平直
图片尺寸447x362
红心的形状-图,大心的形状由孤立的白色背景上的较小的组成.
图片尺寸1024x1024
心形符号图形圆形贴纸
图片尺寸1100x1100
心形_全景网
图片尺寸670x447
心形_全景网
图片尺寸670x502
3d建模软件zbrush20181formac安装教程附注册机
图片尺寸1060x350
心型3d图,心形3d模型图
图片尺寸850x558
心形_全景网
图片尺寸670x670
心形
图片尺寸658x943
【免抠png素材篇】png最好最全的心形制作用素材(上)
图片尺寸495x500
心脏x线表现
图片尺寸767x515
可以从胸片上来诊断,比如在胸片上可以看到类似球形心的改变.
图片尺寸932x311