生精上皮

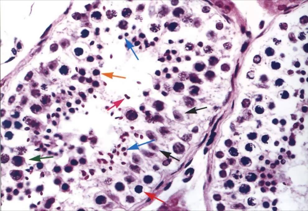
生精上皮 生精上皮 2.基膜 基膜 3.类肌细胞 类肌细胞
图片尺寸1080x810
生精上皮
图片尺寸390x270
精斑
图片尺寸268x358
生精上皮
图片尺寸990x681
精斑可以做亲子鉴定的标本吗?精斑做亲子鉴定有风险吗?
图片尺寸600x399
睾丸小生精的小管.上皮照片
图片尺寸375x300
高等教育 医学 组织胚胎学课件 12 男性生殖系统ppt 生 精 小 管 生精
图片尺寸1080x810
死精的症状图片 (32)_有来医生
图片尺寸351x499
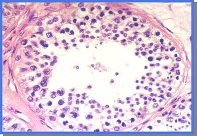
睾丸(生精上皮的各种细胞)
图片尺寸1708x1280
导致弱精子症的常见原因有1睾丸生精上皮不完全成熟或受损变薄,产生的
图片尺寸660x500
生精小管屏障 血--生精小管屏障 生精小管 组成 支持细胞紧密连接 生
图片尺寸1080x810
教育,课件 一生精小管(seminiferous tubule ) 又名: 生精小管
图片尺寸1080x810
死精的症状图片 (32)_有来医生
图片尺寸400x332
组织胚胎学课件组织胚胎学课件15-男性生殖系统ppt
图片尺寸1080x810
死精的症状图片 (32)_有来医生
图片尺寸622x490
死精的症状图片 (32)_有来医生
图片尺寸315x446
死精的症状图片 (32)_有来医生
图片尺寸353x462
生精小管与间质细胞
图片尺寸1080x810
精母细胞生精小管.上皮照片
图片尺寸375x300
在进行增殖和分化时有着严格的模式,生精上皮按照顺序成功完成每一个
图片尺寸1600x1071