甲状旁腺病理

【求助】做出来大鼠甲状腺he染色,看看这些结构是甲状旁腺还是腺瘤样
图片尺寸731x535
3d动画演示甲状旁腺功能亢进病理,知其然还要知其所以然
图片尺寸1280x720
甲状旁腺
图片尺寸600x450
市一胸外一区甲状旁腺亢进手术再创高峰
图片尺寸826x458
急性甲状旁腺危象继发甲状旁腺癌的治疗病例报告
图片尺寸600x450
【求助】做出来大鼠甲状腺he染色,看看这些结构是甲状旁腺还是腺瘤样
图片尺寸659x508
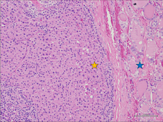
甲状旁腺增生:嗜酸性细胞
图片尺寸504x331
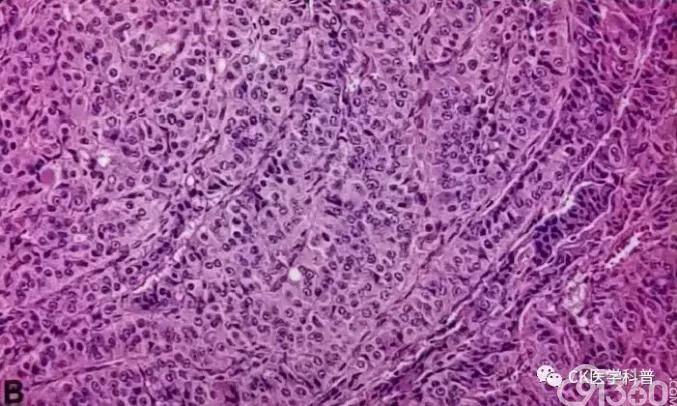
甲状旁腺肿瘤 - 病理杂谈 - 91360病理论坛
图片尺寸504x331
读文献学病理甲状旁腺病变的细胞学特征及鉴别
图片尺寸1556x587
甲状腺组织胚胎学及生理学
图片尺寸640x358
甲状旁腺的组织结构
图片尺寸1080x810
指南共识l2019甲状旁腺癌诊治的专家共识中03甲状旁腺癌的病理注解版
图片尺寸677x406
请求各位战友帮忙看看甲状腺的病理切片,像是什么病变?
图片尺寸1388x1040
甲状旁腺腺瘤? - 华夏病理网论坛
图片尺寸1024x768
肿瘤
图片尺寸540x406
组织学/甲状旁腺
图片尺寸402x268
甲状腺乳头状癌一例
图片尺寸4032x3024
图说甲状腺癌一
图片尺寸714x484
甲状腺肿肿还是甲状旁腺囊肿 - 华夏病理网论坛
图片尺寸800x800
甲状旁腺
图片尺寸1117x408