畸形中央尖怎么引起的

已经好几个月都没有见到过畸形中央尖了,前两 - 抖音
图片尺寸1080x1160
孩子恒牙萌出时,中间冒出一个白色"小尖尖"_中央尖_畸形_治疗
图片尺寸750x456
经过检查,医生告诉家长,孩子的牙齿发育畸形,是畸形中央尖引起的牙髓
图片尺寸531x374
牙医说容易受伤的畸形中央尖
图片尺寸372x501
畸形中央尖易发生磨耗或折断,致使牙髓或牙本质暴露,引起牙髓暴露
图片尺寸1000x750
中央尖_畸形_进行
图片尺寸788x462
畸形中枢尖牙 - 抖音
图片尺寸1228x1408
【畸形中央尖要及早干预治疗】
图片尺寸690x404
牙医说容易受伤的畸形中央尖
图片尺寸500x382
然后发现了这颗牙的问题,畸形中央尖,根尖喇叭口,慢性根尖周炎转诊我
图片尺寸480x270
求儿童牙齿畸形中央尖的治疗方案?
图片尺寸3456x2304
畸形中央尖知多少?
图片尺寸660x234
畸形中央尖
图片尺寸600x400
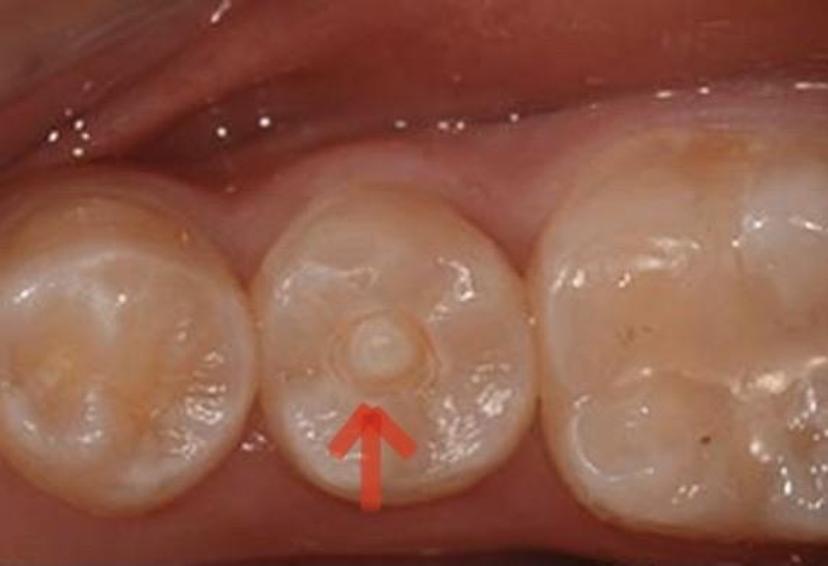
图中突起部位即畸形中央尖,此突起极易折断,导致细菌进入牙髓.
图片尺寸474x416
由于畸形中央尖折断时多处于牙齿发育的阶段,如果引起牙髓或根尖周的
图片尺寸828x566
畸形中央尖中高耸的牙髓组织.part 03.有没有办法预防"中央尖"折断?
图片尺寸1000x387
微博
图片尺寸480x270
左:畸形中央尖;右:加固后.c.
图片尺寸733x360
畸形中央尖
图片尺寸552x267
图2-22 乳磨牙的继承恒牙畸形中央尖折断值得注意的是,临床还可见到
图片尺寸814x566