病毒咽喉炎的症状图片

随着时间的推移,症状越来越严重,润喉和多喝水已经
图片尺寸1080x1410
为什么会出现集体咽喉炎?咽喉不适都有哪些原因有关?要重视
图片尺寸1156x800
慢性咽炎上岸攻略:我的亲身经历分享
图片尺寸1080x1410
小儿嗓子有泡的治疗措施 针对感染治疗:病毒咽喉
图片尺寸800x1070
嗓子红肿发炎很常见,但原因不同,治疗方法也不一样
图片尺寸855x1027
化脓性扁桃体炎:起病急,表现为高热,咽痛,口臭等症状,严重时可见腺样
图片尺寸750x500
网友:五岁孩子,昨天上午开始发热38.3度,说喉咙痛,吃了美林状态很好
图片尺寸690x920
疱疹性咽峡炎咽部疱疹图
图片尺寸750x500
太难熬了,肺炎
图片尺寸1640x3648
疱疹性咽峡炎
图片尺寸1920x2556
冰牛奶冰棍都吃不下,嘴唇喉咙都痛.这是疱疹性咽峡炎吗?童爸回复
图片尺寸690x920
小儿疱疹性咽峡炎口腔红肿图
图片尺寸750x500
嗓子发炎化脓图
图片尺寸750x500
第一种是药物治疗.喉咙发炎声音哑了,通常是细菌或病毒感染引起的
图片尺寸436x505
儿童疱疹性咽峡炎
图片尺寸1920x1530
疱疹性咽峡炎症状与治疗 疱疹性咽峡炎患者张口时可见咽喉部有很多
图片尺寸750x470
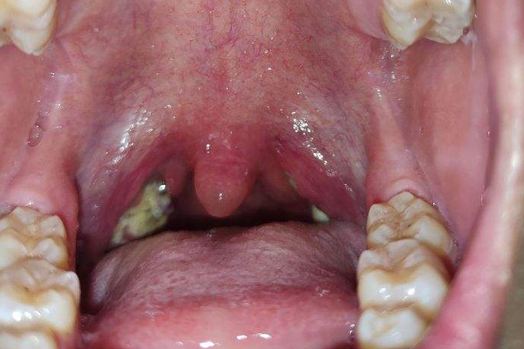
疱疹性咽炎咽喉红肿有白色溃疡图
图片尺寸400x300
急性滤泡性扁桃体炎扁桃体症状图
图片尺寸750x500
肿大几乎触碰,可能会伴有咽痛,刺激性咳嗽,高热,头痛,呼吸不畅等症状
图片尺寸750x500
最近的流行病#疱疹性咽峡炎
图片尺寸688x918