病毒性肝炎细胞图片

病毒性肝炎病理图片
图片尺寸504x331
急性普通型病毒性肝炎,急性重型病毒性肝炎,门脉性肝硬化,流行性脑
图片尺寸800x600
病毒性肝炎,光学显微镜
图片尺寸1200x800
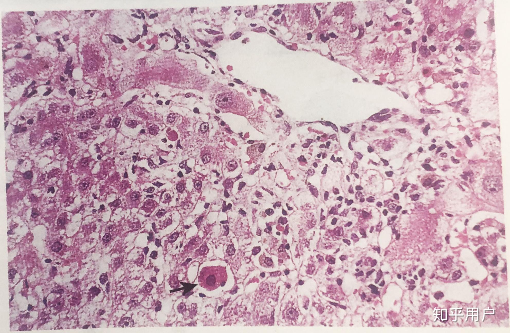
为什么病毒性肝炎肝细胞都是细胞水肿,但是还有一些细胞失水皱缩嗜酸
图片尺寸1984x1296
病毒性肝炎,光学显微镜
图片尺寸1200x800
病毒性肝炎5.细胞核增大,集聚成群.4.肌丝呈波浪状.3.横纹肌结构消失.
图片尺寸1536x2048
病毒性肝炎,大部分肝细胞疏松化和气球样变,但标准的圆形透明为肝细胞
图片尺寸1260x1680
鉴定出甲型肝炎和乙型肝炎病毒,但是alter发现了第三种血源性病原体
图片尺寸891x668
肝细胞
图片尺寸634x357
正常肝细胞
图片尺寸1080x810
病理学_____病毒性肝炎预案.ppt
图片尺寸1152x864
急性病毒性肝炎案例分析
图片尺寸1080x810
现代医学证明,对肝脏造成危害最大的是众多的肝炎病毒,能够引起各种
图片尺寸500x330
己型病毒性肝炎
图片尺寸366x239
但是我遇到的问题是细胞传完代后,生长状况就不好,而且所剩无几,这是
图片尺寸1600x1200
肝细胞
图片尺寸1362x734
乙型肝炎病毒说明
图片尺寸1200x800
形态实验学
图片尺寸299x268
显微镜下的肝细胞显微镜下肝组织淀粉样变性.
图片尺寸450x300
急性肝炎以小叶炎症为主,常见病因:dili,急性病毒性肝炎,急性发病aih
图片尺寸640x467