病毒性肺炎CT

新型冠状病毒感染的肺炎ct影像学表现
图片尺寸1080x885
【影像读片】病毒性肺炎ct
图片尺寸2448x3264
病毒性肺炎的影像学表现
图片尺寸1080x828
刘敏病毒性肺炎的ct影像学特征分析
图片尺寸1000x639
新冠状病毒肺炎ct表现及诊断
图片尺寸695x567
早期新冠肺炎ct表现本文是温小鹏版权所有,未经授权请勿转载.
图片尺寸369x262
五例病毒性肺炎ct影像学表现大家看看都有什么影像征象
图片尺寸1088x1920
病毒性肺炎的影像学表现
图片尺寸1080x785
刘敏:病毒性肺炎的ct影像学特征分析
图片尺寸1000x342
甲型h1n1 流感病毒性肺炎
图片尺寸2000x1292
图解新型冠状病毒肺炎的影像学表现
图片尺寸740x517
影像科出具,病毒性肺炎,建议核酸检测进一步确认的诊断.
图片尺寸1509x2048
刘敏:病毒性肺炎的ct影像学特征分析
图片尺寸1000x998
病毒性肺炎的影像学表现
图片尺寸1080x762
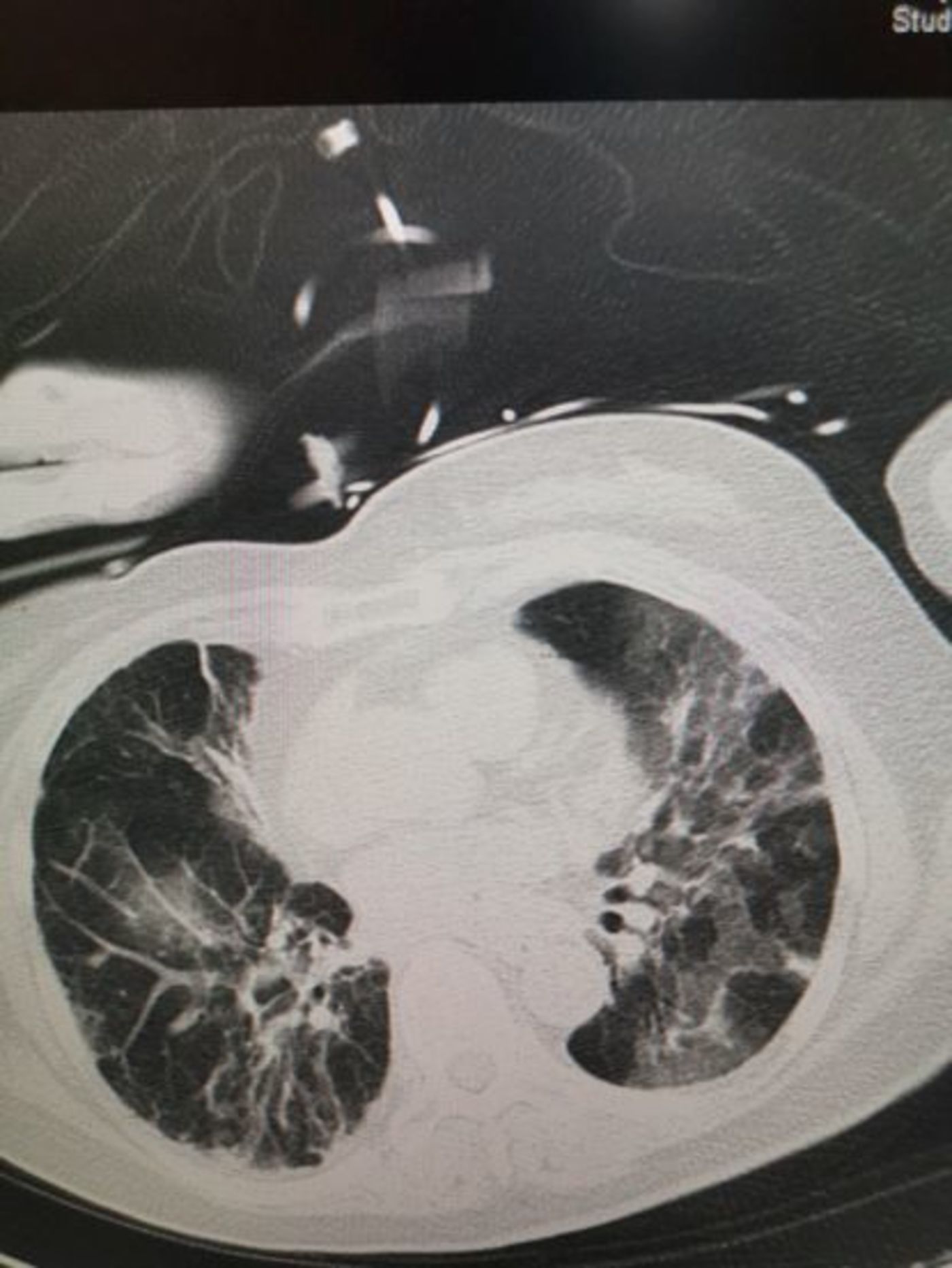
病毒性肺炎的ct表现,渗出增多,透过度降低,呈"白肺"
图片尺寸1400x1865
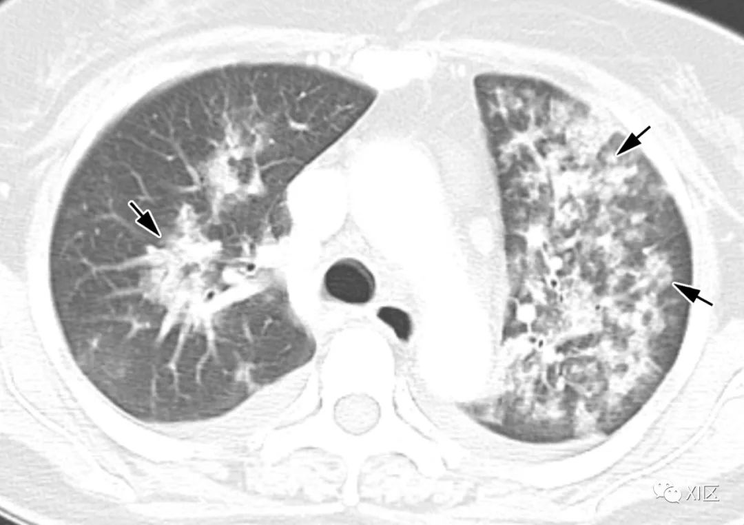
图 1 新型冠状病毒肺炎患者(女性,52岁)发病第8天的胸部ct肺
图片尺寸2165x2148
必看一例新型冠状病毒感染的肺炎ct表现
图片尺寸960x720
刘敏:病毒性肺炎的ct影像学特征分析
图片尺寸1000x381
刘敏:病毒性肺炎的ct影像学特征分析
图片尺寸1000x764![【病例讨论】病毒性肺炎同基础片ct影像对比 欢迎评片建议 [病例帖]](https://imgs.wantubizhi.com/img/ADDA3C5D760C6828B77B505A29D43E836D71D23026EF414E0A5F218CC1DAB73411F5CA37F807C4D6B1C668C26887ABDAEE86324224C49E98ABDB7880BC9804E5B064F851F603DB616A45B77D026FE42D9B2CD6ED0588CC4A2A2A2D512CA1D940)
【病例讨论】病毒性肺炎同基础片ct影像对比 欢迎评片建议 [病例帖]
图片尺寸640x853