病毒性肺炎ct影像特点

17 例肺炎的影像表现
图片尺寸1280x1120
什么肺炎的ct影像如此与众不同
图片尺寸3024x4032
支原体肺炎之早期影像特点
图片尺寸872x719
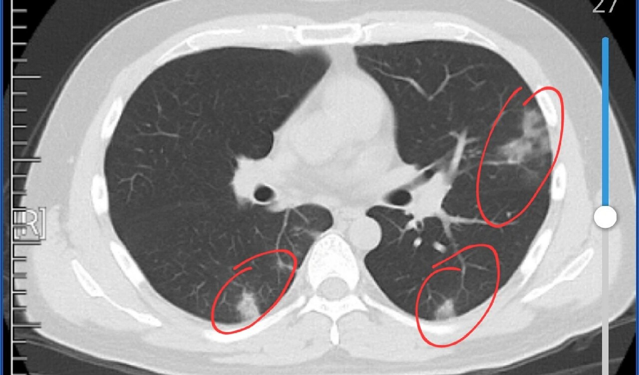
新冠阳性后的一个患者肺部ct表现,呈磨玻璃样改变,为病毒性肺炎
图片尺寸2179x1280
肺炎支原体肺炎时,ct怎么看?
图片尺寸1080x754
支原体肺炎,发烧第6天ct 图片是发烧第六天拍的ct.
图片尺寸1920x2560
支原体肺炎该有的 ct 特点,这个患者都有了_临床_病例_检查
图片尺寸1080x747
什么肺炎的ct影像如此与众不同
图片尺寸3024x4032
病毒性肺炎休养一周复查ct对比
图片尺寸1280x1706
p>新冠肺炎的ct影像学表现 br>新冠肺炎即新型冠状病毒肺炎 br> br>
图片尺寸1024x1024
病毒性肺炎典型ct影像学表现,以磨玻璃为主,多位于胸膜下#病毒性肺炎
图片尺寸440x330
什么肺炎的ct影像如此与众不同
图片尺寸3024x4032
ct笔记②-照着书本生病的大叶性肺炎(1)
图片尺寸1920x2560
什么肺炎的ct影像如此与众不同
图片尺寸3024x4032
新冠病毒性肺炎
图片尺寸1080x1440
支原体,病毒性及细菌性肺炎ct影像区别
图片尺寸918x1140
病毒性肺炎
图片尺寸1024x1365
女性30岁,咳嗽,咳痰10天,胸部ct报告肺炎,猜病原体 - 呼吸胸外 - 医学
图片尺寸685x463
老年男性,ct提示间质性肺炎,诊断考虑什么?
图片尺寸4096x3072
图6肺窗,绿箭头处为肺部感染),看来这不是普通的"肺炎",应该是"囊性
图片尺寸1024x1024