病理管型

常见管型的病理学表现(上)
图片尺寸941x1049
18检验二班杜蓉蓉 管型
图片尺寸821x1031
常见管型的病理学表现(上)
图片尺寸1080x756
常见管型的病理学表现(上)
图片尺寸1080x564
常见管型的病理学表现(上)
图片尺寸1080x875
尿沉渣 之 管型 | 2019 核心教程
图片尺寸640x464
常见管型的病理学表现(下)
图片尺寸1080x813
常见管型的病理学表现(下)
图片尺寸1080x451
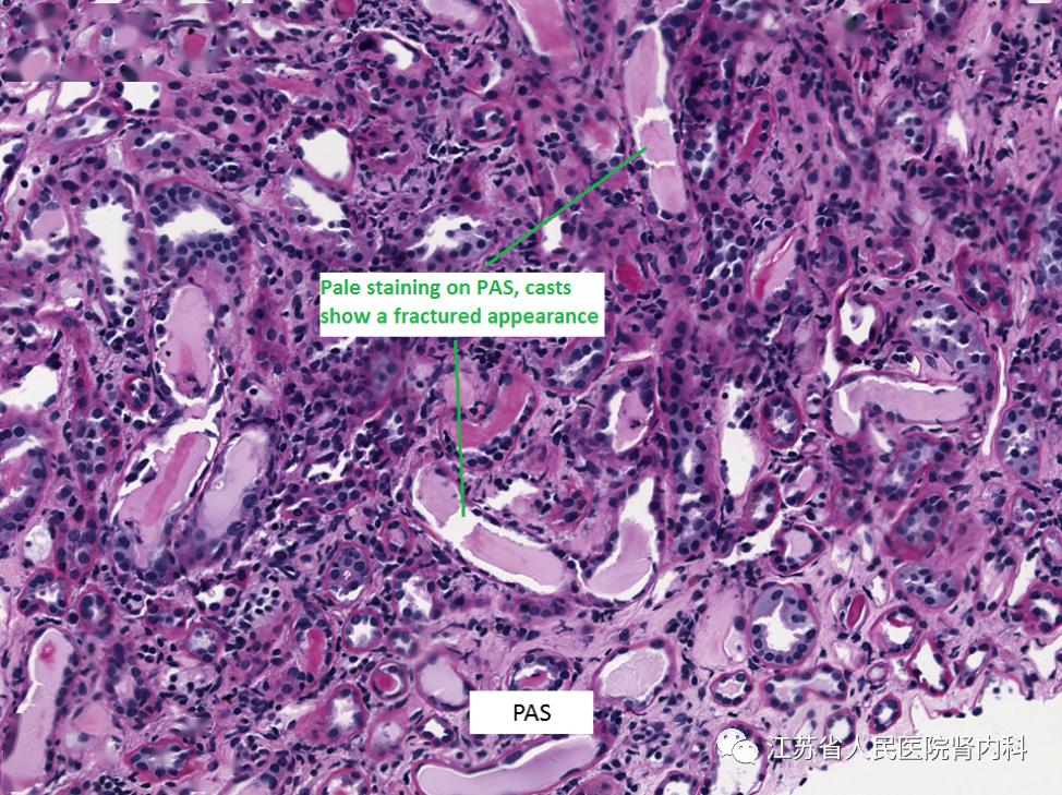
肾脏病理基础(十一)轻链管型肾病
图片尺寸640x502
如果细胞(上皮细胞,白细胞)以管型的形式存在,它们
图片尺寸600x598
肾脏病理基础十一轻链管型肾病
图片尺寸974x729
一起学病例 | 纤维样肾小球病
图片尺寸640x426
病理学实验报告心血管系统
图片尺寸972x559
当管型大量出现,特别是病理管型(如细胞管型,颗粒管型等)出现时,提示
图片尺寸300x355
病情的评估及疗效观察有着重要的作用,脂肪管型作为病理管型的一种
图片尺寸660x572
组织病理:真皮内大量弥漫性炎症细胞浸润伴有坏死,以中性粒细胞为主伴
图片尺寸1185x1593
尿检管型到底有什么意义一次性讲透管型成分形成原理和6种管型
图片尺寸250x325
尿检管型到底有什么意义一次性讲透管型成分形成原理和6种管型
图片尺寸300x375
肾脏病理基础十一轻链管型肾病
图片尺寸768x575
从病理管型看慢性肾脏病的检测
图片尺寸464x238