痛风的x线表现图片

看了这双长满痛风石的手,你还不在乎尿酸高吗?
图片尺寸808x551
多发痛风结石骨质有破坏
图片尺寸800x1098
痛风石到底有多可怕…相愈社区
图片尺寸638x470
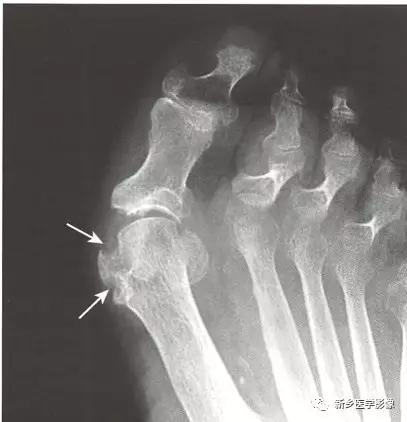
典型痛风性关节炎
图片尺寸1136x1951
x光片上手部疼痛.类风湿关节炎,痛风性关节炎
图片尺寸755x1200![诊断痛风典型吗 [病例帖]](https://imgs.wantubizhi.com/img/A1A61BAA66193547F3A6DD7D8EE527E917FDF7A5A9E694F15BBE978C19D18AEC5933EA1460529EDFE3F8491765160F2C2AB510A50A0F56D7D811DEAA12A0E7942A9574DC65C9CDCB54EB47426AC23A088858F9359F5B26840880738D4ACCC2CD)
诊断痛风典型吗 [病例帖]
图片尺寸2322x4128
痛风有哪些影像表现?
图片尺寸424x365
尿酸盐结晶在软组织内聚集形成痛风石,这是痛风的晚期改变,鲜有钙化.
图片尺寸407x422
痛风足骨改变
图片尺寸1162x952
痛风石"挤"出来?千万别这么做!否则后悔都来不及
图片尺寸3426x2601
痛风发作时如何诊断及如何治疗?
图片尺寸486x347
多发痛风结石骨质有破坏
图片尺寸2748x3664
痛风影像表现
图片尺寸793x456
痛风病例图片共享
图片尺寸1004x704![【读片】痛风性关节炎一例 [病例帖]](https://imgs.wantubizhi.com/img/ADDA3C5D760C6828B77B505A29D43E83BDC050290C19C222045A4E1DFB8047DF316E26AA5F18AF3423A26000B0685FC0FFDE6F9AE4C00D489B6C416D2921A09B488881EAA769755F2AB9779EF64D5618EAB3DD423465D8B1689EF4098FCB2F2E)
【读片】痛风性关节炎一例 [病例帖]
图片尺寸640x530
痛风原来是这样的
图片尺寸640x445![【读片】临床诊断为痛风石,x线片表现,请大神帮分析下 [病例帖]](https://imgs.wantubizhi.com/img/A1A61BAA66193547F3A6DD7D8EE527E97241BFDD67F8CE152FB9F79BEC1F66AD95CD40A8CCD98DE55A520A5CDA292FCB95BC6C2E89656E5EB72230981782507230421607DB2E22E6D95B82A8F0B6D6DE8A40CDED660FDC5176A174B5E61D7800)
【读片】临床诊断为痛风石,x线片表现,请大神帮分析下 [病例帖]
图片尺寸1456x1534
痛风性关节炎
图片尺寸1334x2169
膝关节痛风的影像诊断
图片尺寸1080x1440
痛风有哪些影像表现?
图片尺寸660x570