白内障图片 症状图片

白内障:视力模糊,了解症状,原因和治疗方法!
图片尺寸640x437
白内障发展是阶段性的,根据每个时期症状表现的不同,可分为:初发期,未
图片尺寸640x362
白内障的机制分类表现治疗等简要知识分享day7
图片尺寸800x600
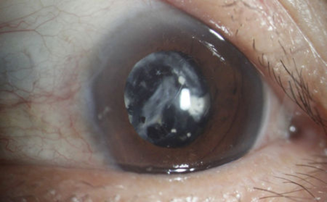
南阳南石眼科丨白内障的这些典型症状,你知道几个?_晶状体_老人_暗影
图片尺寸1120x672
610400查看源网页与什么是白内障症状图片相似的精选内容白内障的早期
图片尺寸1080x2400
大多数糖尿病人会视网膜病变,如何拯救视力?试试这些方法来解决
图片尺寸2048x2048
一文了解白内障 | 60-89岁人群白内障发病率高达80%
图片尺寸578x368
科普篇:白内障是什么症状?如何用三焦点晶体治疗白内障?
图片尺寸443x264
白内障图片_白内障症状表现图片大全_有来医生
图片尺寸600x400
代秋梅讲健康:导致白内障的原因及症状,了解一下
图片尺寸640x426
糖尿病性白内障眼球混浊发黄白斑图
图片尺寸400x300
白内障术后 3 个月很关键!做好日常护理!
图片尺寸1280x852
白内障真实图片_民福康
图片尺寸414x276
白内障真实图片
图片尺寸414x276
贵州晶朗眼科解答|77岁老人同时患有白内障和翼状胬肉该怎么办?
图片尺寸1000x1000
100的人都会得白内障千万别掉进这些陷阱
图片尺寸554x369
白内障——手术是治疗的唯一方式
图片尺寸640x427
data-lemmaid="248056">白内障 /a>的主要症状表现为视力减退和 a
图片尺寸645x400
飞秒激光辅助白内障手术,让患者重获清晰视界
图片尺寸660x495
白内障
图片尺寸640x461