白塞病眼睛图片

来认识一下白塞病吧_白塞氏病_介绍_发病原因_症状表现_检查 - 好大夫
图片尺寸1600x1066
520国际白塞病关爱日一起来了解白塞病
图片尺寸960x720
我眼球白色的,看东西看不清楚,怎么办?
图片尺寸612x816
白塞病的临床表现
图片尺寸1000x800
以往白塞病分为完全型和不完全型
图片尺寸750x500
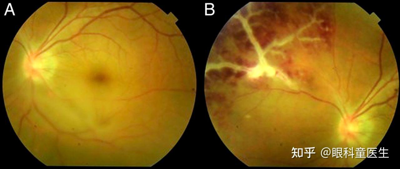
后葡萄膜炎12白塞病
图片尺寸1280x542
眼睛上长得半通明的东西 知道是什么吗 有图片 多谢!
图片尺寸600x800
白化病患者而白化病患者的虹膜两层都缺少色素,光线会从眼睛后部反射
图片尺寸1000x986
大家帮忙看看这个是什么眼病
图片尺寸3264x2448
"15年上半年突然发现 眼睛红了,那时候我还以为是红眼病就没管,滴了几
图片尺寸1280x848
白塞氏病的个人案例
图片尺寸800x449
白塞氏病,又称丝绸之路病,因为这一疾病在日本,中国,土耳其,伊朗等地
图片尺寸660x367
一喝酒眼角就有白色分泌物是什么病
图片尺寸580x773
白塞病眼睛症状图
图片尺寸750x500
病例锦集儿童急性白血病复发的眼部体征
图片尺寸640x401
本以为是痤疮,但却被告知是免疫病,彻底懵了|红斑|溃疡|白塞病|炎症
图片尺寸660x437
这些年那些被当作白内障的眼病(图)
图片尺寸1080x1440
眼睛这个白点是啥
图片尺寸1440x1920
有可能是肠白塞氏病!
图片尺寸1014x693
请问各位老师这是什么疾病,严不严重?
图片尺寸980x736