白色龋齿图片

这2颗都是浅龋吗,怎么治疗
图片尺寸599x800
牙齿的白斑
图片尺寸640x429
龋齿牙痛文章
图片尺寸515x480
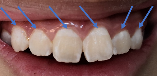
矫牙后您的牙面上留下白斑了吗
图片尺寸640x339
为什么那么多人牙齿上有白斑
图片尺寸640x319
请问这样子的牙齿是不是浅龋没有任何不舒服有的医生说要补有的说不用
图片尺寸1080x2340
这是轻度龋齿还是中度?求解答感谢!
图片尺寸920x1397
儿童龋齿的8大危害性 - 知乎
图片尺寸750x593
儿童科普关注牙齿发育健康注意龋齿的发生
图片尺寸1280x934
龋齿
图片尺寸500x259
很久的蛀牙了 好几年都没痛
图片尺寸528x1024
浅龋齿一定要补吗?
图片尺寸720x1337
麻烦帮我看看是蛀牙吗
图片尺寸400x430
常熟儿童乳牙龋齿要治疗吗
图片尺寸340x258
龋齿不痛可以不补吗?什么才是正确处理龋齿的做法?
图片尺寸490x281
龋齿_龋齿发病原因 - 好大夫在线
图片尺寸417x300
图片
图片尺寸544x265
龋齿的发展过程你知道吗?_手机搜狐网
图片尺寸227x291
呈白色或者米黄色看不见的是急性龋属于慢工出细活的类型通常呈黑色
图片尺寸485x320
补牙后要装牙套多少钱?
图片尺寸480x675