白血病的牙龈出血图

一分钟教会你判断是"普通牙龈出血还是白血病牙龈出血" 1.
图片尺寸1922x1280
牙龈出血是什么原因,会不会是白血病?
图片尺寸293x227
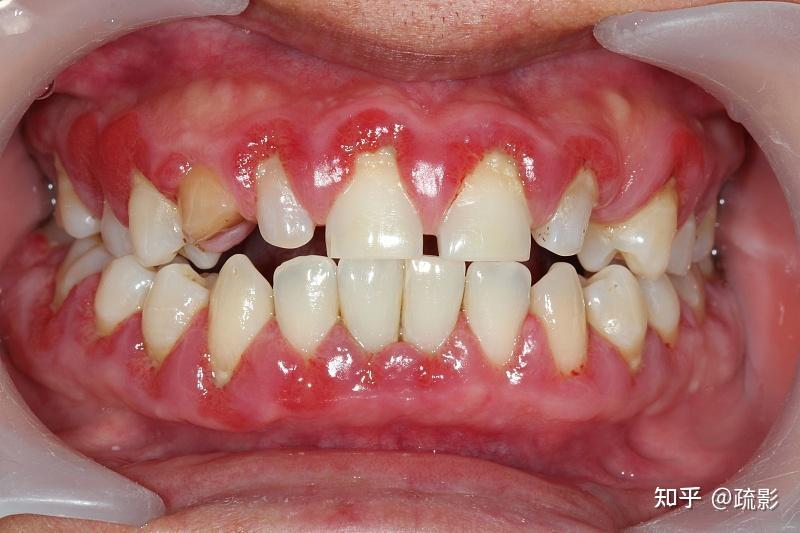
常表现为牙龈缘呈明显的火红色线状充血,界限清楚,可有自发性牙龈出血
图片尺寸750x500
牙龈出血
图片尺寸1080x1439
第6天了还没有一点好转的迹象,牙龈出血不止,尿血不止,每天的 - 抖音
图片尺寸1440x1920
牙龈出血图
图片尺寸750x500
白血病引起的牙龈增生出血
图片尺寸2560x1464
牙龈莫名奇妙的出血是什么情况?
图片尺寸768x1024
前段汉堡老师突然出血离世,很可能是m3口腔科诊断白血病,除了牙龈出血
图片尺寸489x315
急性单核细胞白血病的牙龈浸润|核细胞白血病|cd117|过氧化物|羟基脲
图片尺寸1080x996
牙龈出血
图片尺寸600x600
孩子牙龈肿出血 - 抖音
图片尺寸1440x1920
看牙"看出"白血病!医生提醒:牙龈自发性出血不可忽视
图片尺寸640x332
牙龈黏膜出血图
图片尺寸750x500
镜下原形毕露的"柴捆细胞",让"出血"背后的"m3"无处遁形|骨髓|白血病
图片尺寸660x440
怀孕期间,牙龈出血,这可该咋办?
图片尺寸576x1024
白血病是"等"出来的吗?医生:如果有这3种表现,建议及时就医
图片尺寸660x420
最近牙龈总出血,会不会是白血病啊,心焦啊看图,有点恶心哈,连续6天了
图片尺寸375x500
嘤嘤嘤,我的牙出血了,#牙龈出血 #y.
图片尺寸1080x1439
如何拯救牙龈出血问题?牙龈容易出血还能用电动牙刷?
图片尺寸800x533