皮肤组织切片图片

【求助】求教,如何识别皮肤的he染色切片!
图片尺寸3264x1972
【求助】请高人帮我分析一下这几个小鼠皮肤切片 - 生理生化与组织
图片尺寸640x480
皮肤组织切片
图片尺寸1200x900
我们先来看个正常人的皮肤组织切片:皮下组织层我们就不必多说了,基本
图片尺寸600x460
组胚切片 #肺 #肾 #组织学与胚胎学实验
图片尺寸1080x1439
皮肤切片(图片来自网络)
图片尺寸720x478
图6:皮肤组织病理学检查:主要出现真皮的表面和中间层血管化采取的
图片尺寸610x458
教育组织学显微镜下人体皮肤头部横切面.人类生理学的组织学.
图片尺寸1200x800
病理正常皮肤组织病理3
图片尺寸640x476
尸检皮肤切片示溃疡区和疱疹病毒相关细胞病变,伴有银屑病样增生的
图片尺寸1162x876
真实的皮肤病理切片
图片尺寸1080x692
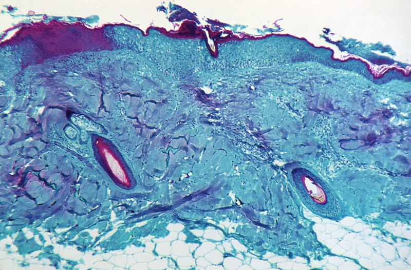
真皮层(英语:dermis)是位于表皮与皮下组织之间的一层皮肤,其由两层
图片尺寸250x188
皮肤与性传播疾病讨论版 -丁香园论坛
图片尺寸640x496
实验二:结缔组织 皮肤_第5页
图片尺寸920x690
【求助】 关于皮肤组织的masson染色?
图片尺寸1392x1040
10×皮肤二期愈合组织切片肺泡上皮再生组织老师展示的肉芽组织切片我
图片尺寸1080x1080
大学组胚上皮组织ppt
图片尺寸1080x810
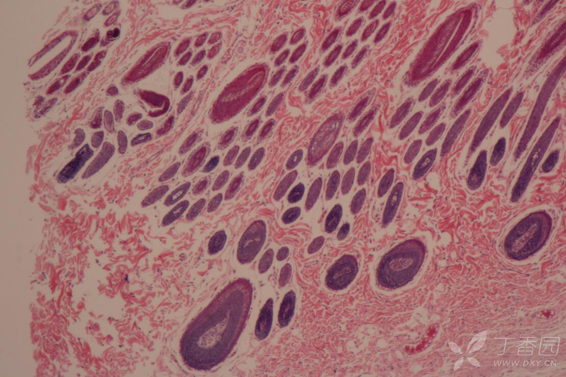
请教皮肤切片he染色附属器辨认,谢谢 - 实验动物与组织学技术讨论版
图片尺寸1109x738
复层扁平上皮组织显微镜配件产品染色均匀清晰组织类生物标本切片
图片尺寸300x300
下,显示了从一只感染了猴痘病毒的猴子皮肤病变处获取的皮肤组织切片
图片尺寸800x527