直肠矢状位

经直肠超声小技巧
图片尺寸1080x1120
直肠肛管解剖ppt课件
图片尺寸920x690
解析: 直肠及肛管示意图.盆底以下叫肛管.
图片尺寸477x255
本模型作矢状切面,显示男性生殖器官和膀胱,直肠在骨盆中的正常蚊置
图片尺寸800x740
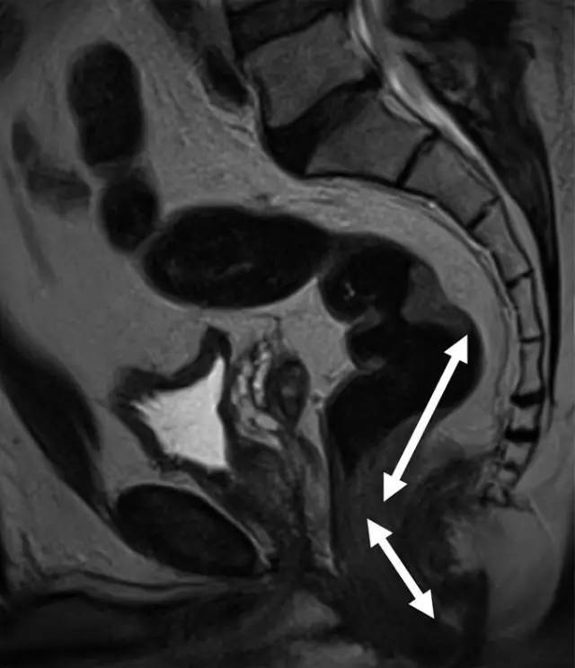
中位直肠癌患者的矢状 t2 加权图像.
图片尺寸640x744
三直肠
图片尺寸808x1533
后矢状位肛门成型术国内又称pena术,此术式对肛门括约肌的损伤最小
图片尺寸527x348
直肠 直肠位于盆腔后部,长约12~15厘米,上于第三骶椎平面接乙状结肠
图片尺寸300x288
男性盆部矢状断面,retzius间隙
图片尺寸720x512
遇到直肠内套叠必须手动扣便?排便并不是越努力越幸运
图片尺寸792x446
与痔疮相关之解剖学知识: 男性骨盆正中矢状断面解剖图谱
图片尺寸640x800
磁共振直肠扫描二
图片尺寸640x471
据接诊的叶俊文主治医师介绍,在距离肛门2厘米处就可以摸到了直肠后壁
图片尺寸431x361
精品文摘|低位直肠癌手术实战技术(3): 会阴前超低直肠前切除术
图片尺寸463x360
结直肠血管瘤
图片尺寸220x165
有助于检测淋巴结图 26 矢状位 t2w 图像下,低直肠癌,在后侧的直肠内
图片尺寸640x489
女性盆腔正中失状面1
图片尺寸640x683
腹膜及腹膜腔(矢状面)
图片尺寸263x394
小肠系膜,横结肠系膜,乙状结肠系膜,右结肠系膜及直肠系膜5个结构都被
图片尺寸579x580
直肠的经过并非上下垂直,在矢状面上,它有两个弯曲,上一个称骶曲,凸侧
图片尺寸1080x1881