真牙

真牙长啥样子的图片
图片尺寸500x337
真牙
图片尺寸1080x1080
牙齿真的越白越好吗##微博公开课
图片尺寸690x432
大家看一下真牙,是教材上的,不牵扯患者隐私,看看能不能get我说的的
图片尺寸1080x720
假牙套中的真牙出现这种情况,应立即治疗_海南房产网_推广
图片尺寸640x391
飞利浦声波震动牙刷真牙测试
图片尺寸640x426
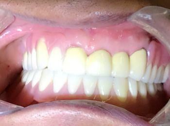
得当可以终身 优势 瓷贴面与树脂贴面相比,色泽好,形态好,接近真牙,是
图片尺寸673x723
以前的牙都白刷了?2017年该如何正确刷牙
图片尺寸640x425
argen氧化锆真牙美学极致自然
图片尺寸553x352
关注 真牙 尺寸够大 品相完好 送至
图片尺寸750x750
是吃硬糖的时候牙齿崩坏的,其实烤瓷牙材料的硬度并没有真牙那么坚固
图片尺寸546x401
瓷材料,全面覆盖牙冠表面,色泽逼真,自然美观,咬合舒适,媲美健康真牙
图片尺寸422x497
通州一老人满口松牙残根,不用拔全保住,真牙吃饭就是香!
图片尺寸350x260
种植牙和真牙有哪些相似之处呢?
图片尺寸500x248
真牙美白不磨牙还原牙齿本色
图片尺寸704x1280
argen氧化锆真牙美学极致自然
图片尺寸546x364
美容修复方案,经过严谨的制作工序,打造形态,色泽,透光性都胜似真牙
图片尺寸480x336
8颗,能保有20颗真牙的80岁以上老人仅有18.4%.
图片尺寸640x384
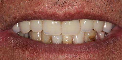
跟真牙并没什么区别吧
图片尺寸570x380
这样的烤瓷牙必须拆掉,否则真牙都烂完了!
图片尺寸640x394