眼底彩照

这是一张正常的眼底彩照,呈橘红色.
图片尺寸360x246
基于眼底彩色照相的常见眼底疾病智能辅助诊断轻量化模型研究
图片尺寸2756x1831
【眼底病讨论】眼底彩照分享
图片尺寸2500x2400
眼底照相
图片尺寸807x628
微清医疗_超广角激光彩照(apollo)_眼底照相机_共焦激光_激光眼底相机
图片尺寸2176x2296
11种常见眼底病,你都了解了吗?_视网膜_患者_彩照
图片尺寸604x497
荣耀时刻∣第三届精于广广而精欧堡超广角眼底影像大赛颁奖典礼
图片尺寸858x642
眼底彩照
图片尺寸969x361
这是一张人体的正常眼底彩照(湘雅二医院眼科供图)
图片尺寸296x298
淄博正大光明眼科医院|眼底照相,为您解密眼底乾坤
图片尺寸848x848
一张眼底彩照报告单
图片尺寸500x334
爱尔眼科提示给眼睛来张自拍这样的眼底照千万要注意
图片尺寸1080x983
国内首批运城首台蔡司clarus500高清超广角眼底相机落户运城市眼科
图片尺寸800x786
方叔右眼底彩色照相和oct图像
图片尺寸550x486
过程:散瞳实在太"辣眼睛",为了拼图做的眼底彩照更是一顿"电闪雷鸣"
图片尺寸845x502
实用篇| 拍摄眼底彩照方法和技巧_患者_相机_图像
图片尺寸1080x741
11种常见眼底病,你都了解了吗?_视网膜_患者_彩照
图片尺寸649x534
正常后极部眼底彩照及黄斑区oct图
图片尺寸350x328
左眼彩照
图片尺寸1600x1216
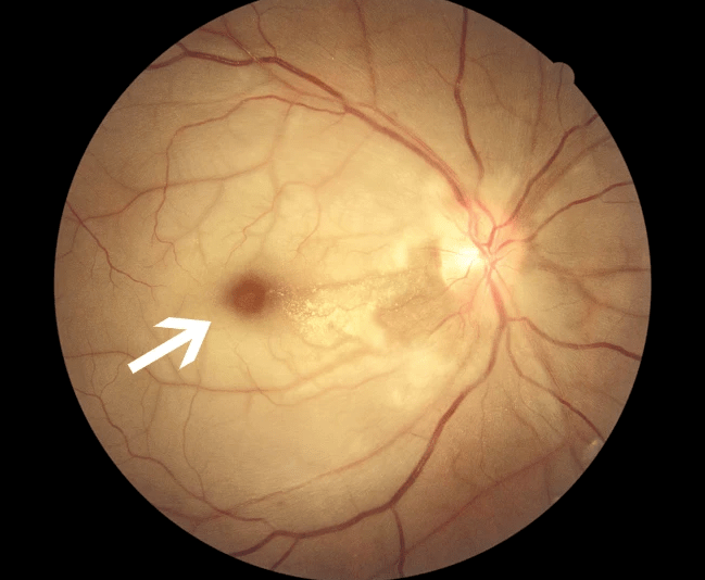
a. 眼底彩照显示ped鼻侧视网膜下一个橘色结节,黄斑区斑驳.b.
图片尺寸1080x1081