眼底霜样变性

运城复明中医眼底病医院-视网膜色素变性_黄斑变性_黄斑病变_眼底
图片尺寸550x412
运城复明中医眼底病医院-视网膜色素变性_黄斑变性_黄斑病变_眼底
图片尺寸361x240
图2-9-3-4 这位白点状视网膜变性患者出现眼底后极部血管弓外玻璃膜疣
图片尺寸609x525![【眼底病讨论】请问可以诊断bietti结晶样视网膜色素变性吗? [病例帖]](https://imgs.wantubizhi.com/img/A1A61BAA66193547F3A6DD7D8EE527E9D9BD4F1BB99AA74364307629400A38A19EDCB2A0D431EA67445C16D7EA7B58066E831C57390AB5C80D9FD389F948EF78D3CB2C8EF1993FC68312E42E8CF9F41B8A34A0C65AE8BFD75F593637D8DF76DF)
【眼底病讨论】请问可以诊断bietti结晶样视网膜色素变性吗? [病例帖]
图片尺寸3015x2540
【眼底病讨论】视网膜色素变性晚期吧
图片尺寸3216x2136
定期眼底拍照,真的可以"眼病早知道"?_病变_视网膜_定期检查
图片尺寸1080x479
晚霞状眼底 danen fuchs结
图片尺寸1536x1024
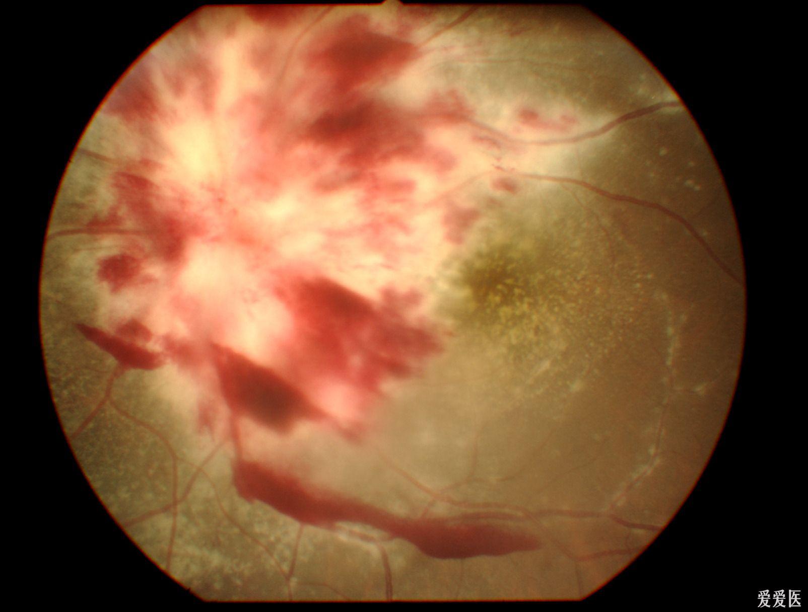
这是糖网患者眼底图,有渗出及出血
图片尺寸410x359
10岁男孩眼里长"蛋黄",如何预防青少年眼底黄斑变性?_病变_卵黄_患者
图片尺寸800x799
白化病眼底病变. - 好大夫在线
图片尺寸660x270
我建议弄一个专门的帖子,大家发一些眼底的图片,典型的最好,不典型的
图片尺寸1536x1024
星状变性,照出来这个效果.我也是醉了!
图片尺寸638x891
视网膜变性
图片尺寸1080x1440
糖尿病视网膜病变的分期和各期的眼底图像 - 好大夫在线
图片尺寸1600x1239
老年性黄斑变性
图片尺寸765x557
看图识病: 霜样树枝状视网膜血管炎 #丁香打卡
图片尺寸1458x576
变性性近视的眼底损害
图片尺寸500x401
眼底变性疾病 / 葡萄膜炎-长春爱尔眼科医院「官网」
图片尺寸594x192
很特殊眼底病变照片
图片尺寸1604x1216
运城复明中医眼底病医院-视网膜色素变性_黄斑变性_黄斑病变_眼底
图片尺寸500x375