眼底黄斑oct图片解说

oct#眼部oct#眼底oct.oct图解 - 抖音
图片尺寸1125x1498
自己做的黄斑分区示意图,请战友指点.
图片尺寸1750x1240
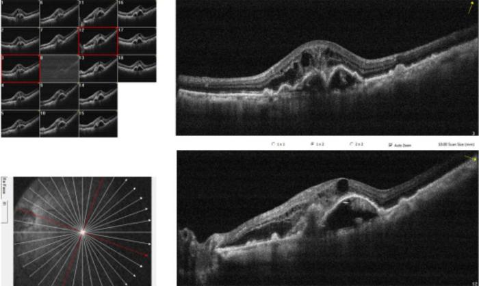
光学相干断层扫描(oct):清晰的显示眼后段主要是黄斑和视乳头的形态
图片尺寸538x459
oct的读图指南和诊断会诊(一)
图片尺寸575x393
硬核科普 | 我叫黄斑,大家都叫我"眼底的心脏"
图片尺寸1065x820
黄斑我们可以用我们的oct来进行黄斑的检测,看看有没有裂孔,有没有
图片尺寸3120x3120
无忧文档 所有分类 医药卫生 临床医学 oct视网膜10层结构除黄斑区仅
图片尺寸640x602
什么是眼底黄斑病变
图片尺寸400x250
警惕致盲杀手——黄斑病变
图片尺寸769x314
原来黄斑区叶黄素密度较大,当蓝光穿透晶状体抵达视网膜时,它们会通过
图片尺寸1268x700
【科普】暴躁如你,小心眼睛"中浆"|视网膜|眼病|青光眼|黄斑_网易订阅
图片尺寸368x391
一只眼看门框,自查黄斑!
图片尺寸460x233
眼底oct分层一文教你全看懂
图片尺寸640x452
oct结果解读ppt参考课件
图片尺寸920x690
黄斑.png
图片尺寸802x503
年龄相关性黄斑变性(amd)诊治新技术之一:oct检查技术_黄斑变性_黄斑
图片尺寸960x720
视力杀手,眼底病你了解多少?
图片尺寸400x267
眼底照相及oct扫描图像:干性年龄相关性黄斑变性年龄相关性黄斑变性
图片尺寸700x418
黄斑病变不要怕,及时治疗才是硬道理
图片尺寸650x570
包括视网膜,视盘,黄斑和视网膜中央动静脉
图片尺寸856x532