眼睑粘连图片

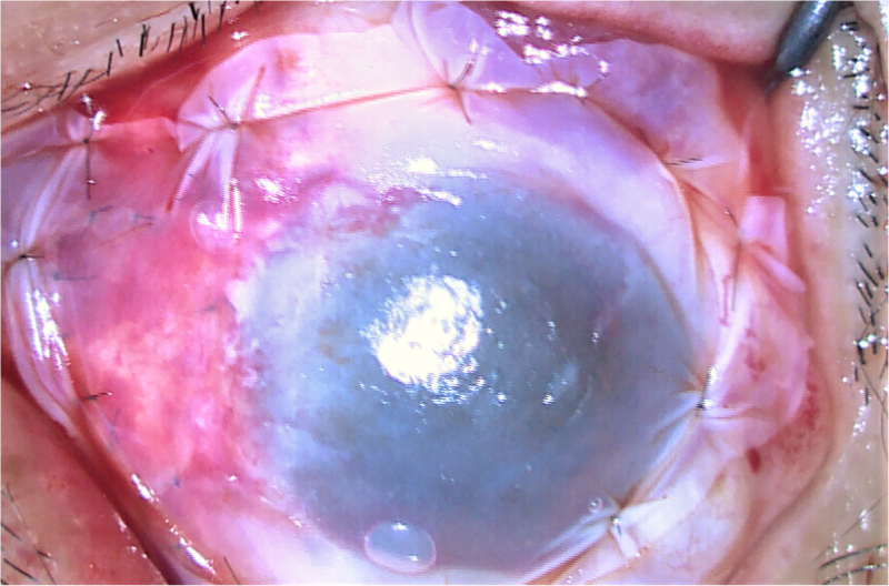
下眼睑与眼球粘连手术后.
图片尺寸4160x3120
睑球粘连
图片尺寸272x240
一例钢水烧伤后导致的睑球粘连的患者. - 好大夫在线
图片尺寸3120x4160
讨论猫咪眼睑粘连看不清楚眼珠
图片尺寸1080x1440
下眼睑与眼球粘连手术后.
图片尺寸3120x4160
吉大一院郝继龙主任团队成功手术治疗复发性翼状胬肉伴睑球粘连一例
图片尺寸800x528
睑球粘连通常是指眼睑与球结膜,角膜发生粘连的病理状态,需前往医院行
图片尺寸414x276
经专科检查显示:左眼睑中下部与眼球角膜处大片粘连,角膜部分变性
图片尺寸1080x1718
广泛睑球粘连穹隆再造术
图片尺寸300x304
角膜化学伤稳定期,重度,角膜全部被膜性组织覆盖,明显的睑球粘连
图片尺寸600x450
早晨上下眼睑粘连
图片尺寸381x300
武汉美基元双眼皮术后粘连修复问题
图片尺寸1125x869
这种双眼皮形成方式的优势是形成的双眼皮粘连稳定,缺点则是因为睑板
图片尺寸900x900
埋线双眼皮术后疤痕粘连图片
图片尺寸1200x500
术中:眼睑缺损修复 睑球粘连分离 羊膜移植术术后二周睁眼闭合完全
图片尺寸1998x1346
双眼皮疤痕黏连 wendy悦薇堂管果_疤痕_悦薇_双眼皮
图片尺寸1080x1439
症状:淤血肿胀严重,左眼出现高位粘连,眼睑退缩,右眼粘连成三层褶且
图片尺寸500x398
双眼皮粘连怎么修复
图片尺寸518x563
韩勋说该如何理解双眼皮修复中粘连与瘢痕
图片尺寸900x500
而双眼皮手术,因为需要睑板前的粘连操作,所以会有自然翘睫的效果.
图片尺寸573x293