眼睑退缩图片

> 下睑退缩--手术治疗前后对比图
图片尺寸600x213
上眼睑退缩也不要忽视
图片尺寸1090x453
甲亢引起的上睑退缩
图片尺寸610x265
眼睑退缩后呈现"眼球突出"外观,外观凶相,甚至可造成角膜或结膜暴露
图片尺寸660x252![【病例讨论】单侧眼睑皮肤萎缩 [病例帖]](https://imgs.wantubizhi.com/img/A1A61BAA66193547F3A6DD7D8EE527E9807872686E6A4928CFC8D49B2ADD3BF2C10AAC43C94F21CCAE570CEC3D7CF34015F9E15A1CA707F725C7389F942AAA510DE033CAAE9295127AEF23272912D9AB77502890489D80ABC56059C6EBFD125D)
【病例讨论】单侧眼睑皮肤萎缩 [病例帖]
图片尺寸1228x816
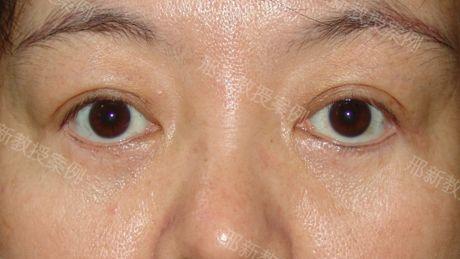
br>上眼睑退缩的表现是角膜暴露过大,也就是黑眼珠
图片尺寸4325x2433
下眼睑退缩外翻矫正案例时程一年左右
图片尺寸1280x918
眼睑退缩和迟滞都是甲状腺眼病的重要眼征.术前进行必要的病因判断.
图片尺寸1318x507
下眼睑退缩外翻矫正案例时程一年左右
图片尺寸1280x1234
上睑退缩术前术后对比图
图片尺寸1428x548
下图这位女患者下眼睑下垂,退缩,呈现三白眼,做完手术后眼神都变得
图片尺寸1201x1280
重度下睑退缩修复半年后反馈
图片尺寸460x259
眼睑退缩可以发生在上睑,也可以发生在下睑,或者上下睑同时发生.
图片尺寸736x507
上睑退缩手术提速!甲状腺眼病眶减压术后,你可以更美!
图片尺寸412x362
眼部整形上眼睑退缩矫正手术分析
图片尺寸640x233
上眼睑退缩也不要忽视
图片尺寸2028x777
下眼睑退缩外翻矫正案例时程一年左右
图片尺寸1280x1522
上睑退缩
图片尺寸503x262
头条问答 - 什么是眼睑退缩?原因是什么?(2个回答)
图片尺寸640x682
下睑退缩的矫正_眼睑
图片尺寸700x524