眼袋手术眼角硬结图片

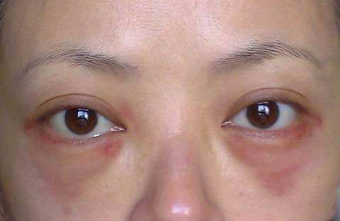
祛除眼袋不想老结果眼睛鼓大包第二次修复手术后包更大了
图片尺寸1080x595
外切眼袋一个月鼓包了怎么回事
图片尺寸1062x796
脑壳疼做完内切眼袋多久恢复内切眼袋硬块多久消失
图片尺寸363x236
眼袋术后30天,如此效果怎么办?
图片尺寸1944x2592
眼睑巨大包块一例
图片尺寸640x480
内眼角第7天了,摸起来硬,里面有个绿豆大的疙瘩,好_圈子-新氧美容整形
图片尺寸1712x1284
外切眼袋 增生
图片尺寸1080x1440
外切眼袋手术第二天,左边眼睛有个坑不知道是不是正常的好担心
图片尺寸864x1920
开眼角一只眼睛眼角下面鼓了一个小包
图片尺寸500x666
术后38天,右眼眼袋位置的硬块仍然存在,非常显眼,_圈子-新氧美容整形
图片尺寸570x345
我割完双眼皮十七天了,长了个黑色的硬硬的疙瘩
图片尺寸768x1024
眶隔释放三个月整,眼角的位置这个小白包一直没掉,这是啥东西
图片尺寸570x443
注射整形后面部出现硬结该如何处理?
图片尺寸570x428
做眼袋手术硬结正常吗?acme-te-a细胞科技如何规避风险?
图片尺寸2320x1257
割双眼皮15天眼角长了一个鼓包还会消吗
图片尺寸962x1280
眼袋没做好就是外切眼袋后缝合处有疙瘩可以修复吗
图片尺寸500x304
割完眼袋22天因为冲血比较厉害现在眼睛下面还有硬块怎么办,还会不会
图片尺寸768x1024
外割眼袋一年了但是眼下方有个豆子大的疙瘩怎么办
图片尺寸570x507
做眼袋手术硬结正常吗?acme-te-a细胞科技如何规避风险?
图片尺寸480x312
术后38天,右眼眼袋位置的硬块仍然存在,非常显眼,_圈子-新氧美容整形
图片尺寸570x338