睾丸钙化灶

睾丸内的粗钙化,同样需要重视!_手机搜狐网
图片尺寸640x391
可见睾丸大小形态正常,回声均匀,内可见数个粗大强回声钙化灶(长箭)
图片尺寸900x500
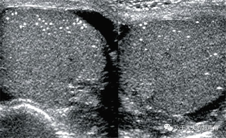
患男14岁,双侧睾丸弥漫性钙化.
图片尺寸450x600
睾丸内的粗钙化同样需要重视
图片尺寸900x550
图 1 双侧睾丸血供正常1, 前列腺钙化灶.
图片尺寸800x600
体检查出前列腺钙化灶,看到这个你就应该"坐不住"了
图片尺寸1080x1440
钙化灶和磨玻璃结节,这两种现象.
图片尺寸1904x1280
脑内对称性钙化灶
图片尺寸640x853
肝钙化灶买保险会拒保吗 肝钙化灶能买保险吗
图片尺寸620x826
超声报告上写着"钙化灶",这是什么东西?
图片尺寸639x326
右乳钙化灶
图片尺寸680x510
结果是附睾头囊肿 睾丸钙化灶,医生
图片尺寸2000x1403
肝内钙化灶是什么意思 肝内钙化灶有何特点
图片尺寸500x375
内可探及一强回声光斑4x4cm后伴弱声影,超声提示前列腺局部钙化灶
图片尺寸612x816
二十岁大学生检查出来前列腺钙化灶该怎么办? - 知乎
图片尺寸2048x1536
你了解前列腺钙化吗原来腰痛睾丸疼痛就是它引起的
图片尺寸640x525
冠状动脉壁见钙化灶严重吗
图片尺寸780x1040
肝右叶钙化灶什么意思?
图片尺寸1200x1600
乳腺内异常钙化灶导丝定位活检
图片尺寸1107x1002
超声结果中的几种钙化灶
图片尺寸1080x873