短趾症

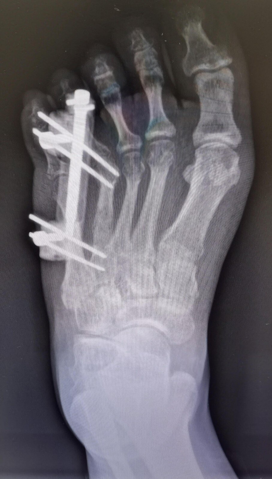
人民医院的手术室内,一场罕见的短趾症截骨延长术在这里紧张地进行着
图片尺寸640x480
右脚第四趾短小,以后遗传给孩子的几率大么,ps:我是女的,好像我的脚趾
图片尺寸780x1040
短趾症合并拇趾趾间外翻的治疗.#短趾症 #第四跖骨短小症 # - 抖音
图片尺寸1280x1706
该和双脚患有第四跖骨短小症的女友继续交往吗?
图片尺寸720x540
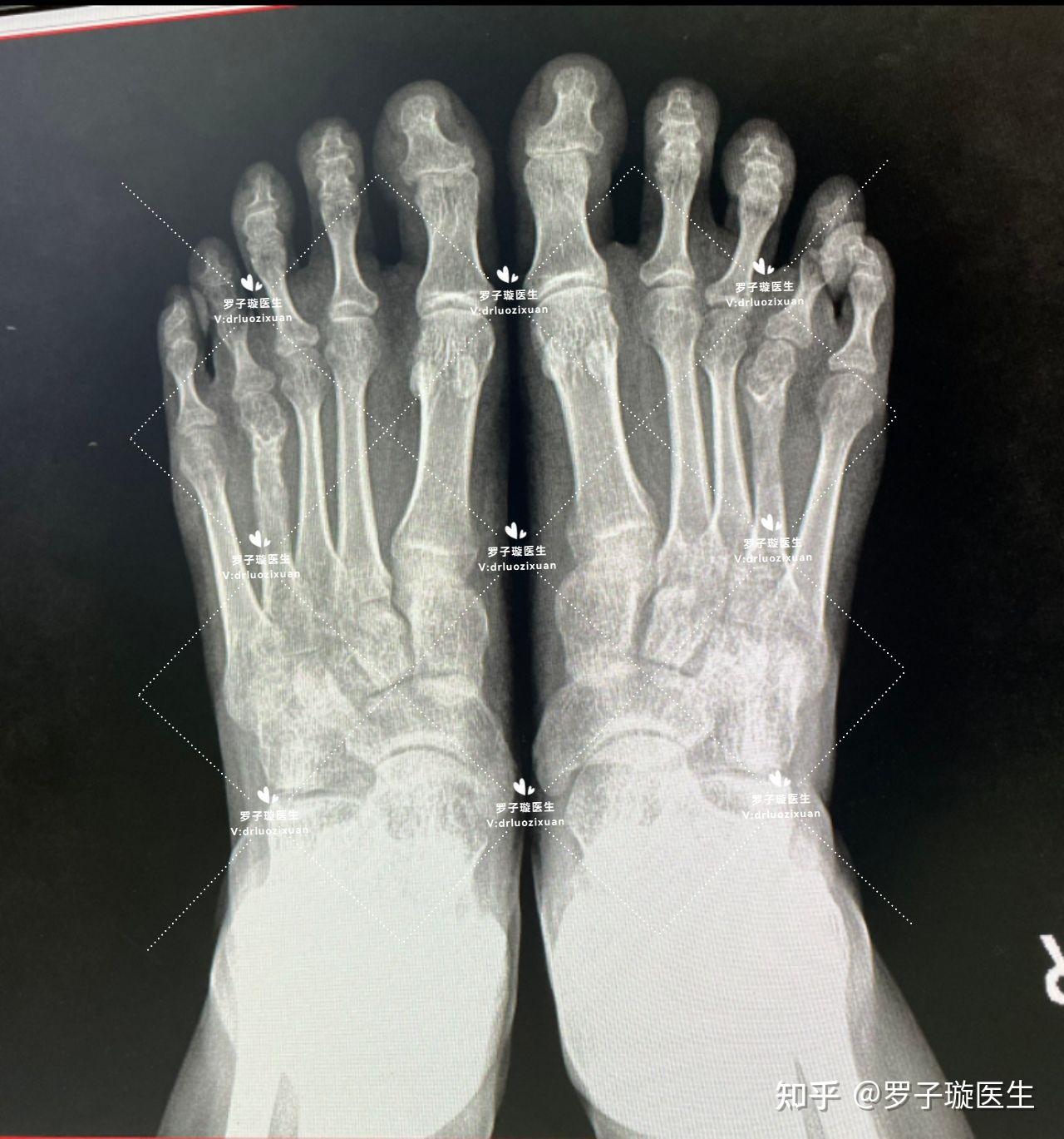
短趾症brachymetatarsia
图片尺寸1600x1200
关于短趾症(脚趾短小症)手术的一些常见问题 - 知乎
图片尺寸838x777
什么是短指症
图片尺寸2348x1432
短趾症brachymetatarsia
图片尺寸1080x1600
小锤子来集合让人自卑的d型短指症
图片尺寸1080x1080
短趾症-为什么我的第四足趾短小_短指症_症状表现_治疗方式 - 好大夫
图片尺寸900x1600
第四趾短小症_北京积水潭医院新龙泽院区攻略_医疗健康_医疗健康其他
图片尺寸1080x1439
短趾症_短指症 - 好大夫在线
图片尺寸388x800
短趾症brachymetatarsia
图片尺寸908x1600
短指症
图片尺寸876x1024
第四脚趾短小症—短趾症—治疗过程 - 知乎
图片尺寸1280x1369
请问有人是第四脚趾短小症吗
图片尺寸600x450
短趾症_短指症 - 好大夫在线
图片尺寸451x800
涨知识d型短指症
图片尺寸1080x1439
第四足趾短小症短趾症治疗过程
图片尺寸1280x1706
d型短指—又短又宽的大拇指到底能治疗吗?
图片尺寸1745x1147