破裂孔ct

影像解剖理清颈动脉管破裂孔的关系颈内动脉破裂孔段并不经过破裂孔
图片尺寸1035x752
c3破裂孔段
图片尺寸650x552
头部影像—ct基础ppt
图片尺寸1215x810
【基础学习】颈内动脉走形:概述,颈段,岩段及破裂孔段
图片尺寸551x560
圆孔及上颌神经眶上裂通行视神经管,眶上裂,圆孔,卵圆孔,棘孔,破裂孔
图片尺寸891x644
超实用的颈内动脉cta分段
图片尺寸553x631
关于破裂孔的问题
图片尺寸508x465
第八章 鼻窦高分辨ct解剖.ppt
图片尺寸1152x864
影像解剖 | 理清颈动脉管,破裂孔的关系:颈内动脉破裂孔段并不经过
图片尺寸1012x1430
术前cta,了解颅底卵圆孔位置和大小,与相邻重要结构,比如破裂孔的距离
图片尺寸2000x2667
眶上裂通行视神经管,眶上裂,圆孔,卵圆孔,棘孔,破裂孔等后界是颞骨
图片尺寸865x614
外侧型,saltzman Ⅲ型永存原始三叉动脉ppta:头cta:rica胚胎性大脑后
图片尺寸574x358
影像解剖 | 理清颈动脉管,破裂孔的关系:颈内动脉破裂孔段并不经过
图片尺寸1080x601
影像解剖 | 理清颈动脉管,破裂孔的关系:颈内动脉破裂孔段并不经过
图片尺寸990x1032
腭鞘管---鼻咽后上:圆孔---颅中窝后内:翼管---破裂孔向前通过眶下裂
图片尺寸632x590
正位dsa显示左侧颈内动脉破裂孔段动脉瘤
图片尺寸3024x4032
正常颅脑ct解剖诊断图片,ct教学图解图谱,如何看怎么看,下载讲解ct
图片尺寸593x405
眶上裂,圆孔,卵圆孔,棘孔,破裂孔等后界是颞骨岩部前界是蝶骨大翼
图片尺寸912x362
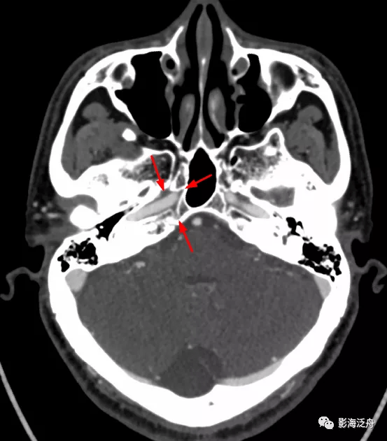
解剖破裂孔foramenlacerum
图片尺寸800x800
c:分块切除肿瘤,见肿瘤位于破裂孔内侧,黄白色,边界清,质地脆,血运少
图片尺寸477x451