硬膜外

疼痛解剖学颈部硬膜外腔
图片尺寸665x599
硬膜外隙.jpg
图片尺寸653x559
如何进行硬膜外阻滞麻醉规范操作
图片尺寸640x328
硬膜外隙
图片尺寸1080x810
海绵窦硬膜外入路.#医学手绘 #医学解剖 #小大夫爱画画的日 - 抖音
图片尺寸1920x1366
硬膜外隙
图片尺寸1080x810
图解硬膜外血肿(2013课件)
图片尺寸828x620
硬膜外血肿与硬膜下血肿尾部有简记彩蛋
图片尺寸1728x1080
知识更新硬膜外穿透后头痛的诊疗进展
图片尺寸859x609
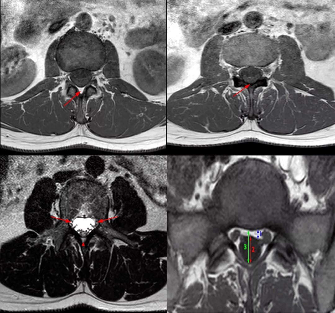
硬膜外隙epidural space
图片尺寸1080x810
临床应用: 硬膜外隙----硬膜 外麻醉 蛛网膜下隙----腰 穿(抽取 脑脊
图片尺寸1080x810
硬脑膜外血肿与硬脑膜下血肿鉴别
图片尺寸1432x1000
猫硬膜外血肿
图片尺寸588x294
如图示,硬膜外穿刺时经历哪几层组织()
图片尺寸483x619
半身麻醉主要指的是椎管内麻醉,包括单纯的腰麻,单纯的硬膜外麻醉,或
图片尺寸1080x422
揭秘神奇的无痛分娩——硬膜外镇痛_产前检查_产前检查相关疾病 - 好
图片尺寸548x364
常见易忽略的疾病椎管内硬膜外脂肪增多症
图片尺寸1080x1009
如何进行硬膜外阻滞麻醉规范操作
图片尺寸640x480
椎管骨膜 之间为硬膜外隙 2.硬脊膜 之间为硬膜下隙 3.
图片尺寸1080x810
临床外科知识硬脑膜外血肿临床表现与诊断
图片尺寸662x497