磨玻璃结节良性

肺磨玻璃结节之十问十答
图片尺寸3968x2976
分享一个良性磨玻璃结节影像图片
图片尺寸1200x1600
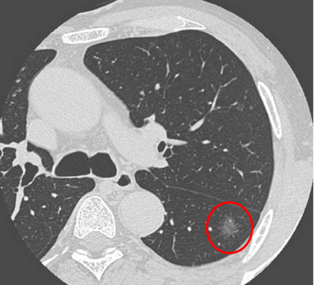
刘懿博士说肺癌三七四〇左肺两个磨玻璃结节一个良性一个恶性
图片尺寸1600x1501
良性磨玻璃结节最常见的良性磨玻璃结节就是肺炎,尤其是近期感染的
图片尺寸640x480
0304.对应的ct影像-2 典型的实性结节和磨玻璃影的c - 抖音
图片尺寸1310x1122
哪种磨玻璃结节最可怕需不需要做手术主要看这点
图片尺寸1080x599
磨玻璃结节良性的几率有多大?
图片尺寸1133x2453
磨玻璃密度结节大不同
图片尺寸2976x3968
肺磨玻璃结节典型病例分享 患者需要上传什么样的照片 - 好大夫在线
图片尺寸4033x3024
磨玻璃结节是良性还是恶性?
图片尺寸640x496
磨玻璃结节如何就诊磨玻璃结节的ct报告如何解答
图片尺寸640x420
肺磨玻璃结节典型病例分享 患者需要上传什么样的照片 - 好大夫在线
图片尺寸4032x3024
如何预防肺部磨玻璃结节?
图片尺寸4032x3024
肺磨玻璃结节之十问十答
图片尺寸640x480
刘懿博士说肺癌三七四〇左肺两个磨玻璃结节一个良性一个恶性
图片尺寸1600x1565
肺结节科普:肺部长了"磨玻璃结节"应该怎么办?
图片尺寸640x581
肺磨玻璃结节典型病例分享 患者需要上传什么样的照片 - 好大夫在线
图片尺寸1600x1200
肺磨玻璃结节之十问十答
图片尺寸3968x2976
磨玻璃结节都是恶性的吗?
图片尺寸1860x1101
肺磨玻璃结节的病人,如何给我传有用的影像资料(术后病人也一样) - 好
图片尺寸4032x3024