神经母细胞瘤早期症状

儿子两岁  ,被确诊神经母细胞瘤四期高危.每天每天,我都活在 - 抖音
图片尺寸1440x1920
一下 因为我一个人带宝宝 最好是淮安的医院#只有宝妈才懂吧 #毛母
图片尺寸1080x1920
神经母细胞瘤,一个你不接触可能一辈子都不了解的 - 抖音
图片尺寸1080x1920
病例报道:以双眶周瘀斑为表现的神经母细胞瘤一例
图片尺寸424x204
髓母细胞瘤.2022年11月23号在陆河人民医院检查出小脑后 - 抖音
图片尺寸1920x1440
颈部耳前钙化上皮瘤有什么症状?
图片尺寸629x629
罕见病神经母细胞瘤到底是什么?_孩子_治疗_恶性肿瘤
图片尺寸1000x750
小雨是一名22岁的大学生,患有1型神经纤维瘤病.
图片尺寸1920x1280
神经母细胞瘤症状是什么
图片尺寸500x333
神经母细胞瘤
图片尺寸2400x1600
婴儿神经母细胞瘤皮肤转移一例-医联
图片尺寸680x821
斑块?瘤体?
图片尺寸729x606
爸爸陪伴女儿5年抗癌之路,期待新药奇迹_检查_治疗_医生
图片尺寸269x359
后腹神经纤维瘤 - 抖音
图片尺寸1440x1744
童声传递神经纤维瘤1型患儿迎来好消息
图片尺寸624x468
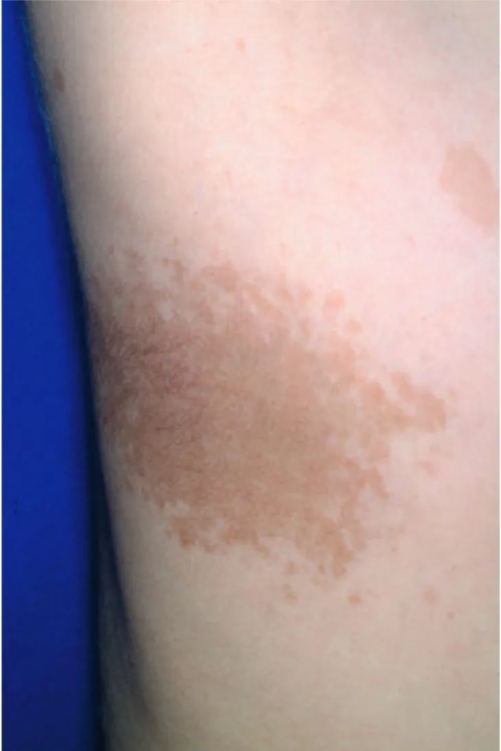
你见过牛奶咖啡斑吗?——罕见病之神经纤维瘤病
图片尺寸208x320
nf1(1型神经纤维瘤病)
图片尺寸1182x454
孩子长了多处灰色斑块要警惕「神经纤维瘤病」?专科医生教你怎么看
图片尺寸730x1094
c,丛状神经纤维瘤(plexiform neurofibroma,pnf):多为先天性,沿神经丛
图片尺寸563x617
不仅仅是咖啡牛奶斑,一文读懂神经纤维瘤
图片尺寸735x485