神经母细胞瘤肚子

做了穿刺活检,确诊女儿患的是神经母细胞瘤.
图片尺寸776x1010
神经母细胞瘤
图片尺寸500x333
一名左侧腹膜后巨大神经母细胞瘤最长径13厘米的患儿昨天成功的在福建
图片尺寸1072x620
宝宝肚子上长了一个瘤邓主任点燃新希望
图片尺寸5184x3456
4岁女童腹膜后神经母细胞瘤
图片尺寸2448x3264
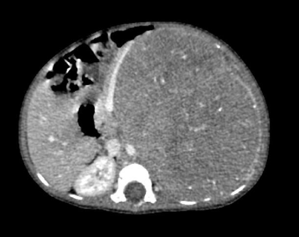
成人腹膜后神经母细胞瘤小圆细胞瘤一例
图片尺寸600x600
海绵状血管瘤(治疗前)
图片尺寸600x337
成人腹膜后神经母细胞瘤小圆细胞瘤一例
图片尺寸600x600
(2)肾细胞癌儿童6岁前罕见.
图片尺寸600x464
肚子上长了一颗这样的东西,黑黑的,像颗痘,但是很长时间了,一月份就
图片尺寸756x1008
瘤红色的胎记向指已提到的人婴儿`英文字母表的第19个字母肚子照片
图片尺寸449x300
神经母细胞瘤
图片尺寸500x321
我的宝宝才一岁半啊,神经母细胞瘤在她小小的肚子里长到了10厘 - 抖音
图片尺寸1920x1440
小婴儿后腹膜巨大神经母细胞瘤一期手术完整切除肿瘤
图片尺寸610x593
我今年22岁 女 有人知道这肚子上是什么东西吗 应该挂什么科 是从去年
图片尺寸1024x1024
小儿腹膜后神经母细胞瘤的ct特征和鉴别诊断pdf5页
图片尺寸792x1156
一罕见的腹部巨大肿瘤
图片尺寸1601x1203
宝宝血管瘤· 宝宝出生后肚子上的血管瘤越来越大,从一开始摸着与皮肤
图片尺寸1280x960
小婴儿后腹膜巨大神经母细胞瘤一期手术完整切除肿瘤
图片尺寸610x483
4岁小儿腹部隆起,竟是巨大肿瘤!家长摸到孩子腹部有硬块需警惕
图片尺寸345x334