种植基台

钛种植体基台
图片尺寸500x288
氧化锆基台_种植基台_西安致美齿科技术发展有限公司
图片尺寸720x429
愈合基台(使牙龈成型)
图片尺寸3735x2000
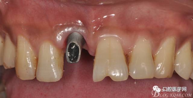
图20 口内修复基台正位照
图片尺寸640x327
过来人解惑种植牙安装基台太疼了是真是假
图片尺寸500x335
cad/cam个性化种植基台是高精密度的,完全个性化的角度基台.
图片尺寸800x441
种植牙个性化基台的实用性
图片尺寸620x378
锥形种植体基台kontacts03
图片尺寸500x193
个性化愈合基台使用案例-周相敦(韩国)
图片尺寸553x415
种植体基台牙冠展示图
图片尺寸600x409
锥形种植体基台kontactkontacts03
图片尺寸500x191
直线型种植体基台 / 氧化锆 / 钛 / 内部
图片尺寸451x284
种植牙基台
图片尺寸434x335
转移基台(合面观)
图片尺寸3530x2000
来看看种植牙愈合基台吧
图片尺寸500x278
上愈合基台后
图片尺寸554x243
图10 愈合基台咬颌照
图片尺寸640x425
安装转移基台(颊面观)
图片尺寸2792x2000
要弄清楚几点:1,这个价格包含哪些东西要知道种植牙,是由种植体 基台
图片尺寸888x493
种植基台的类型
图片尺寸624x398