种植支抗

种植支抗的应用
图片尺寸1080x584
实现后牙压低方式——种植体支抗
图片尺寸952x391
【罗俊 精品课】微种植体支抗在正畸治疗中的运用
图片尺寸1280x720
微种植体支抗钉在内收过程中所产生的副作用原创
图片尺寸631x298
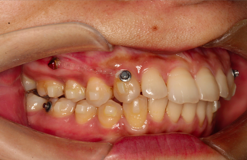
种植体支抗
图片尺寸591x368
【罗俊 精品课】微种植体支抗在正畸治疗中的运用
图片尺寸1280x720
正畸临床创新(第2版damon系统联合种植支抗矫治疑难错■)(精)
图片尺寸600x861
种植支抗在正畸中的创新应用 临床口腔科学 图文并茂阐述种植支抗植入
图片尺寸800x800
【种植支抗】高角病例全方位垂直向控制之——前牙开合伴露龈微笑
图片尺寸373x248
种植体支抗在正畸临床的应用
图片尺寸1080x810
种植支抗钉示意图
图片尺寸500x378
06最近私信中好几位氧气询问到种植支抗的相关问题,我_圈子-新氧
图片尺寸1080x739
种植支抗会议
图片尺寸1386x1040
口腔科正畸项目—— 一种新的种植支抗技术的临床应用
图片尺寸515x344
种植支抗在正畸治疗中的应用
图片尺寸800x450
种植体支抗
图片尺寸600x400
腭侧种植钉联合三角形tpa加强支抗
图片尺寸397x277
正畸微种植支抗术后注意事项 - 好大夫在线
图片尺寸963x626
你的医生会告诉你,需要在你口中打一颗微螺丝钉种植体(通俗点就叫支抗
图片尺寸550x501
种植体支抗植入位详解
图片尺寸640x580