种植牙后图片真人

种植牙价格
图片尺寸393x264
种植牙真人案例
图片尺寸440x440
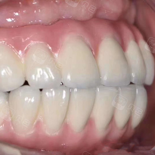
种植牙和我的真牙一样
图片尺寸600x399
「真人案例」让你更直观的了解种植牙!
图片尺寸1080x810
长春拜博口腔种植牙真人案例
图片尺寸600x448
种植牙
图片尺寸570x758
种植牙
图片尺寸570x1010
全口种植牙对比
图片尺寸500x500
前牙种植案例
图片尺寸800x600
中诺口腔单颗牙种植 半口牙种植真人案例前后效果对比图
图片尺寸571x384
巴中白玉牙科真人案例让你直观感受种植牙哪个步骤较痛苦
图片尺寸500x357
后牙种植
图片尺寸700x466
种植牙
图片尺寸570x380
退休老人种植牙术前术后对比(组图)
图片尺寸600x308
高难度种植牙手术穿颧穿翼步骤详解牙槽骨萎缩也能种牙
图片尺寸500x589
青岛维乐口腔种植牙真人案例效果图
图片尺寸587x299
植入4颗恢复半口牙all-on-4种植是医院代表性的种植牙技术之一,在
图片尺寸500x333
西安交大口腔医院种植牙真人效果图
图片尺寸500x519
广州曙光口腔多颗种植牙前后对比图
图片尺寸578x398
沈阳欢乐口腔全口种植牙案例,术后美食随便吃!
图片尺寸500x500