空气支气管征ct图片

柳澄讲坛丨正确判读支气管异常的ct征象
图片尺寸960x720
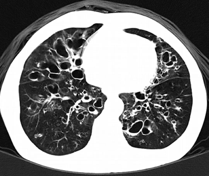
ct表现:支气管壁增厚和气道扩张4,其他表现:长期患病或反复继发感染可
图片尺寸700x588
柳澄讲坛丨正确判读支气管异常的ct征象
图片尺寸960x720
空气支气管征
图片尺寸472x300
支气管扩张的7种ct表现
图片尺寸569x592
支气管充气征
图片尺寸2560x1920
ct 区分支气管扩张的原因
图片尺寸591x232
经典图谱,详细解说支气管扩张ct小诀窍:学不会我拜你为师!
图片尺寸576x432
肺ct不用死记硬背(三):视频解说"支气管解剖"
图片尺寸3024x4032
弥漫性泛细支气管炎,ct尤其hrct可见小叶中心性结节呈弥漫性分布,常与
图片尺寸571x595
急性支气管炎一例
图片尺寸3264x2448
今日复查ct.支气管扩张.但患者却没有痰.误诊了.
图片尺寸1242x1656
一文理清支气管扩张诊断与治疗你知道多少│临床必备
图片尺寸1772x1299
柳澄讲坛丨正确判读支气管异常的ct征象支气管充气征
图片尺寸2000x2667![【影像读片】比七版内科教科书还经典"支气管扩张"ct片 [病例帖]](https://imgs.wantubizhi.com/img/A1A61BAA66193547F3A6DD7D8EE527E9DCA4128EB153B4A6F9C21AF212F348D170D244C6793DCB913CEA1CD8878F41502A91C153AB59010155AB1969561BC5B31FAA8102D64A7243A07A7AA481B2F6BC0574A86A3B63065D558B7A07EA0C550A)
【影像读片】比七版内科教科书还经典"支气管扩张"ct片 [病例帖]
图片尺寸640x853
看到空气支气管征,要想到这些
图片尺寸609x538
柳澄讲坛丨正确判读支气管异常的ct征象
图片尺寸960x720
柳澄讲坛丨精准判读支气管感染的基本ct表现
图片尺寸960x720
支气管充气征
图片尺寸640x423
支气管扩张的15种病因影像学表现,你知道多少?│以影识病
图片尺寸600x471