空肠显微镜下的结构

看到几个回答.忍不住想来认真答一下.
图片尺寸1190x773
空肠
图片尺寸399x255
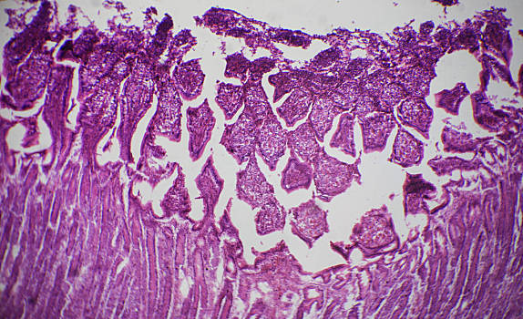
大鼠空肠he切片
图片尺寸320x213
显微镜
图片尺寸1000x1333
为什么有些人多吃一点肉,就难受
图片尺寸640x441
图6- 4号样品 前肠,有裂纹-4x
图片尺寸2560x1920
小肠是消化管最长的一段,可分为十二指肠,空肠和回肠三部分,主要的
图片尺寸1473x675
显微镜下的狗空肠
图片尺寸1200x900
空肠切片 组织学 消化系统 动植物切片标本 教学器材 显微镜玻片
图片尺寸750x750
显微镜下观察人的肠壁
图片尺寸1200x800
图 1 (a)十二指肠,(b)空肠及(c)回肠组织形态学变化4.
图片尺寸1269x737
组织切片
图片尺寸360x270
横截面小肠
图片尺寸1200x960
小肠绒毛光镜像,请判断图中2所示的是何种结构?()
图片尺寸359x348
发酵饲料桑粉对宁乡花猪抗氧化性能和肠道功能的影响
图片尺寸808x736
小肠绒毛光镜像,请判断图中2所示的是何种结构?()
图片尺寸374x326
不会用双目显微镜,只会用一只眼睛98
图片尺寸1080x1440
组胚绘图1上皮组织肌组织神经元胃胰腺
图片尺寸1080x1439
小肠,局部,肠胃,显微镜
图片尺寸574x350
玫瑰花群显微镜下小肠子的玫瑰剖面小胸腔微观的系统医疗背景
图片尺寸450x300