第5跖骨骨折40天图片

9月26日,踢球落地崴脚,第二天拍片发现第五跖骨骨折,打石膏38天了
图片尺寸1048x1397
第五跖骨基底骨折40天复查 骨折40天了,还有一点缝,脱拐走路一星期
图片尺寸960x1280
第5跖骨基地部破裂骨折第一天
图片尺寸1080x1439
左脚第五跖骨骨折
图片尺寸1536x2048
第五跖骨基底部骨折.
图片尺寸1080x1920
第五跖骨基底骨折40天复查 骨折40天了,还有一点缝,脱拐走路一星期
图片尺寸960x1280
左脚第5趾骨骨折之治疗生活日常记录2021112康复进行时
图片尺寸3024x4032
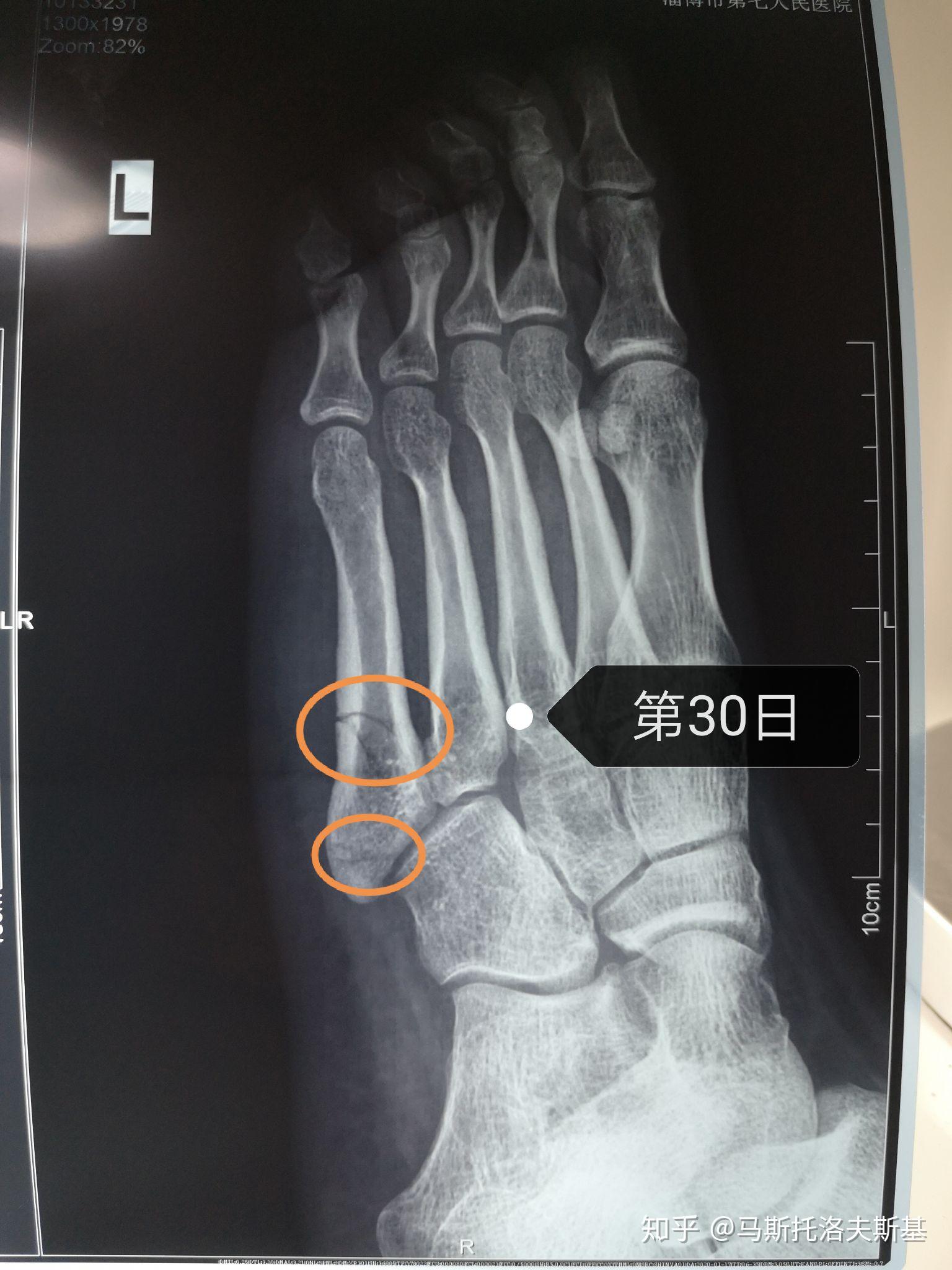
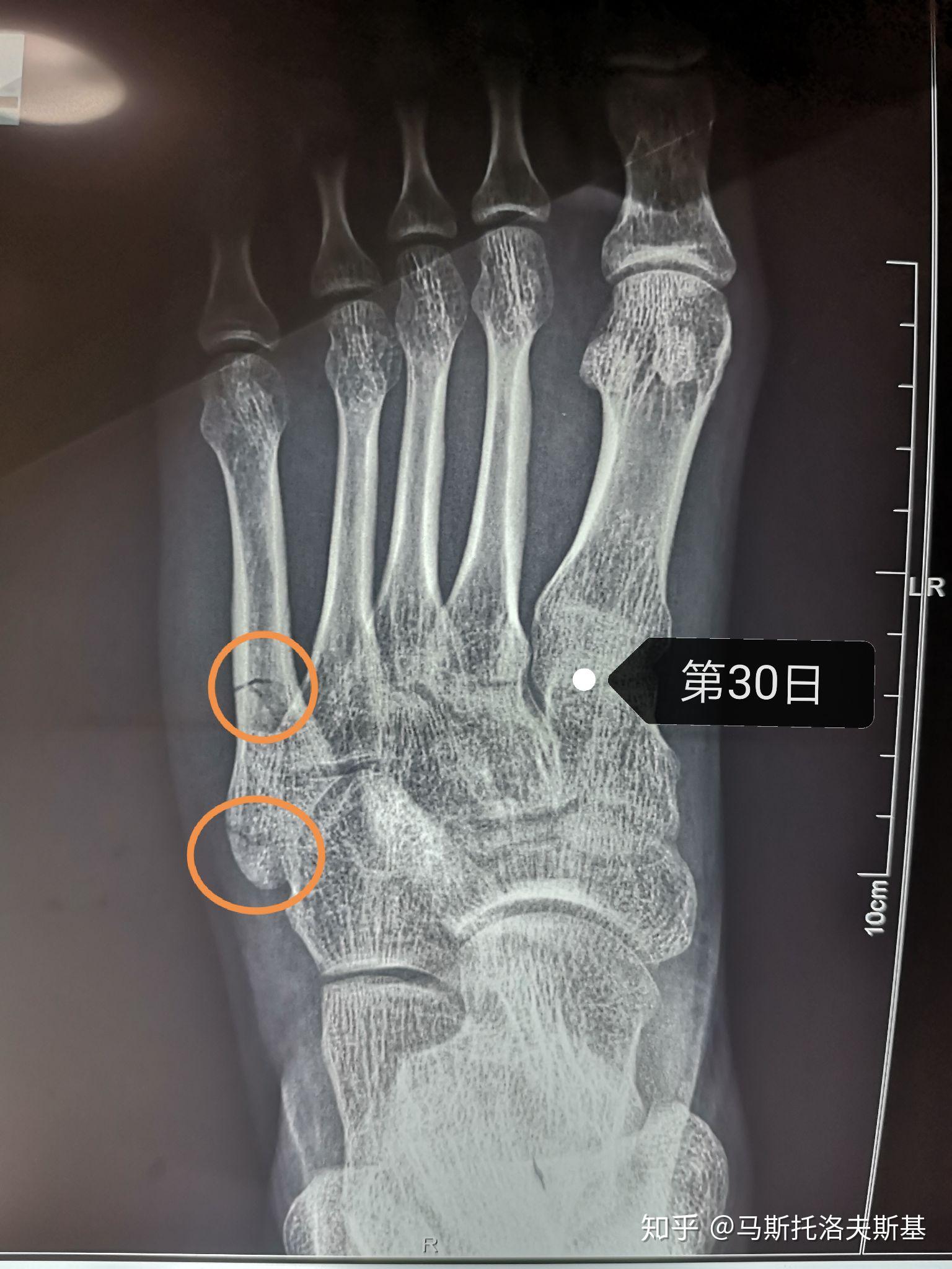
第五跖骨骨折1个月 从2月13到3.14,骨折30天了,满一个月了.
图片尺寸900x1280
第五跖骨基底部骨折第四十三天
图片尺寸1080x1440
第五跖骨骨折
图片尺寸1399x2048
第五跖骨骨折1个月 从2月13到3.14,骨折30天了,满一个月了.
图片尺寸1200x1280
右脚第五跖骨骨折,石膏固定40天左右,现在能拆石膏下地活动吗?下面
图片尺寸600x800
第五跖骨骨折快两个月了都没好
图片尺寸1536x2048
第五跖骨骨折
图片尺寸1080x1080
第五跖骨基底部骨折后续
图片尺寸1080x1150
右脚第五跖骨骨折,石膏固定40天左右,现在能拆石膏下地活动吗?下面
图片尺寸600x800
95959595#骨折 #跖骨骨折 #第五跖骨基底部骨折
图片尺寸1080x809
记录右脚第五跖骨骨折的日子
图片尺寸887x1920
脚第5跖骨骨折35
图片尺寸4344x5792
左脚第五跖骨骨折
图片尺寸1536x2048