管状腺瘤是什么意思?

①管状腺瘤:绒毛状成分占20%以下 是圆形或椭圆形的息肉,表面光滑或
图片尺寸1182x1085
结肠多发管状腺瘤emr治疗
图片尺寸668x591
腺瘤性息肉是公认的癌前病变,其中管状腺瘤最为常见.
图片尺寸640x475
肠管状腺癌二级是什么概念!是什么程度的症状!
图片尺寸480x640
5种血管瘤图片 一图识别
图片尺寸1432x1125
提早一步 让癌止步 | 内镜黏膜下剥离术(esd)帮助
图片尺寸1080x939
绒毛管状腺瘤影像表现
图片尺寸1080x607
正确认识较大绒毛状管状腺瘤的真容_山田二_pit_黏膜
图片尺寸580x437
二是非腺瘤性(非肿瘤性)息肉.
图片尺寸641x481
升结肠管状腺瘤伴低级别讨论病例山东省消化道早癌病理群
图片尺寸1920x1080
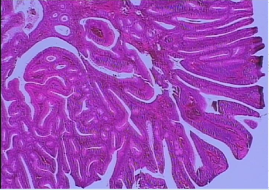
管状腺瘤轻中度异型增生固有层可见炎细胞浸润,现在己经做了.
图片尺寸2330x2664
病理结果是绒毛状管状腺瘤?这是癌症吗?
图片尺寸665x965
结肠息肉会长大的千万不要忽略它
图片尺寸1080x1762
12岁少女肠内长满定时炸弹医生提醒这类病属于家族性遗传
图片尺寸541x567
高清内镜下的绒毛状腺瘤.
图片尺寸1080x1440
血管瘤论坛文献:弥漫性淋巴管瘤这是一种罕见的淋巴管瘤特殊类型
图片尺寸684x512
绒毛状管状腺瘤
图片尺寸911x642
乙状结肠腺瘤一例
图片尺寸680x448
经典永流传pitpattern分类测一测你能否正确诊断
图片尺寸1080x974
管状腺瘤的管状腺瘤治疗方法
图片尺寸463x624